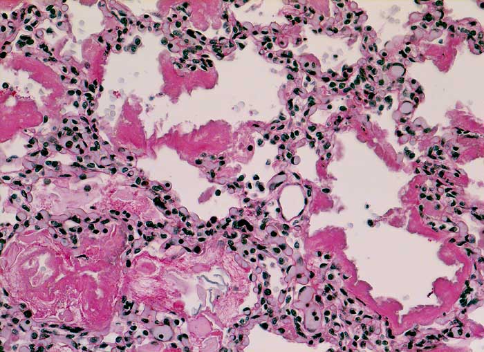
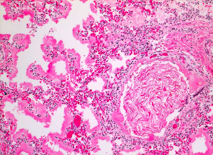
AP/ Hyaline-Membranen-Krankheit des Neugeborenen

Diagnose
Hyaline-Membranen-Krankheit des Neugeborenen
Diagnose Gruppe
organspezifische Erkrankung
Differenzialdiagnose
Topographie Gruppe
Lunge, Mediastinum mit Thymus
Topographie
Lunge
Einleitung
-
Klinik
-
Normalbefund
Morphologie
-
Makroskopie
Virtuelles Präparat
Befund
Pathologischer Befund
Normalbefund
Literatur
Datum
Ersteintrag: 11.02.2004
Update: 11.02.2004