AP/ Chondrosarkom

Diagnose
Chondrosarkom
Diagnose Gruppe
maligner Tumor
Topographie Gruppe
Knochen, Knorpel, Gelenke
Topographie
Knochen, Rippe
Einleitung
Definition:
Das Chondrosarkom ist ein maligner Tumor, welcher Knorpel, aber kein Osteoid produziert.

Aetiologie:
Chondrosarkome können primär oder sekundär entstehen (z.B. in einem Osteochondrom oder einem periostalen Chondrom).

Lokalisation:
Im Gegensatz zu den gutartigen Knorpeltumoren sind Chondrosarkome bevorzugt am Stamm lokalisiert (Os ilium, Rippen, Scapula, Femur und Humerus (> 5039)). Zentrale Tumoren der Röhrenknochen sind diaphysär oder metaphysär lokalisiert und breiten sich intramedullär aus. Periphere (= juxtakortikale) Tumoren sitzen der Kompakta auf.

Morphologie:
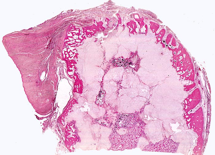
Hochdifferenzierte Chondrosarkome sehen makroskopisch wie reifer hyaliner Knorpel aus. Meist sind die Tumoren lobulär gebaut. Es finden sich gelbe Kalkablagerungen, Pseudozysten und/oder fokale gelatinöse Areale, bei wenig differenzierten Tumoren zusätzlich Nekrosen.

Grading und Prognose:
Die Aggressivität eines Chondrosarkoms korreliert mit dem histologischen Grad, wobei das Grading auf drei Komponenten basiert: Zellularität, Kernatypien und mitotische Aktivität. Grad 1 Chondrosarkome verhalten sich in der Regel lokal aggressiv, metastasieren aber kaum und können dedifferenzieren. Grad 3 Tumoren metastasieren in die Lungen, die Haut und in die Weichteile. Rezidivtumoren können ein höheres Grading aufweisen als die Primärmanifestation.

update 5.9.2018
Klinik
Vorkommen:
Nach den Osteosarkomen bilden die Chondrosarkome die zweitgrösste Gruppe der primär malignen Knochentumoren im Erwachsenenalter. Männer sind doppelt so häufig betroffen wie Frauen. Die meisten Patienten sind älter als 50 Jahre.

Symptomatik:
Die Tumoren können Schmerzen verursachen und wachsen gewöhnlich langsam.

Therapie:
Wegen der geringen Wachstumsdynamik und dem konsekutiv schlechten Ansprechen auf Strahlen- und Chemotherapie stehen chirurgische Massnahmen therapeutisch im Vordergrund. Ist die vollständige Resektion nicht möglich, kann eine primäre Strahlentherapie, ggf. auch mit Hilfe von Schwerionen erwogen werden.

update 5.9.2018
Normalbefund
Morphologie
Morphologische Merkmale:
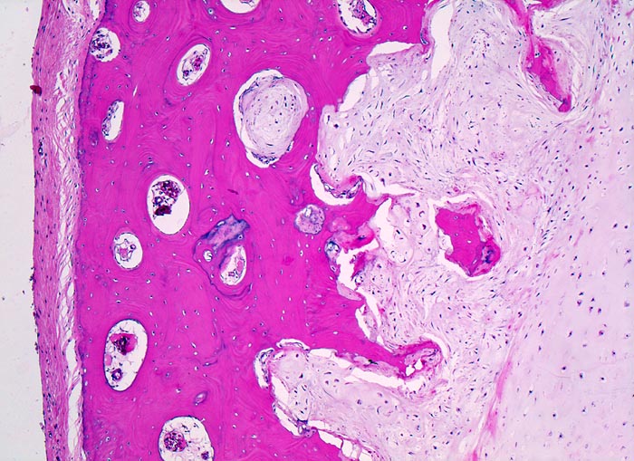
  • Von Periost bedeckter kortikaler Knochen.
  • Zellarmer lobulierter Knorpeltumor.
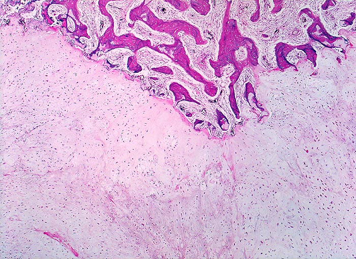
  • Destruktive Tumorinfiltration des spongiösen und kortikalen Knochens.
  • Der maligne Knorpel mit reichlich heller chondroider Matrix gleicht nicht neoplastischem hyalinem Knorpelgewebe.
  • Im Vergleich zu normalem Knorpel leicht erhöhte Zellularität.
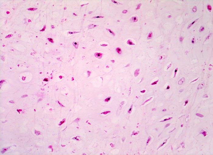
  • In Höhlen liegende Tumorzellen mit hyperchromatischen, leicht vergrösserten Kernen.
Das sollte der Kliniker dem Pathologen mitteilen:
  • Genaue Lokalisation.
  • Wachstumsverhalten.
  • Radiologischer Befund.
  • Vollständige oder Teilresektion.
  • Erstbefund oder Rezidiv.
Praxis-Tipp:
  • Markierung der Resektionsränder (ev. Skizze zur Orientierung).
Makroskopie
Befund
Pathologischer Befund
Normalbefund
Datum
Ersteintrag: 10.07.2019
Update: 10.07.2019