PathoPic – image database / PathoPic ID 4524 - hoch differenziertes Chondrosarkom

de
Diagnose
hoch differenziertes Chondrosarkom
Diagnose Gruppe
maligner Tumor
Topographie
Knochen, Rippe
Topographie Gruppe
Knochen, Knorpel, Gelenke
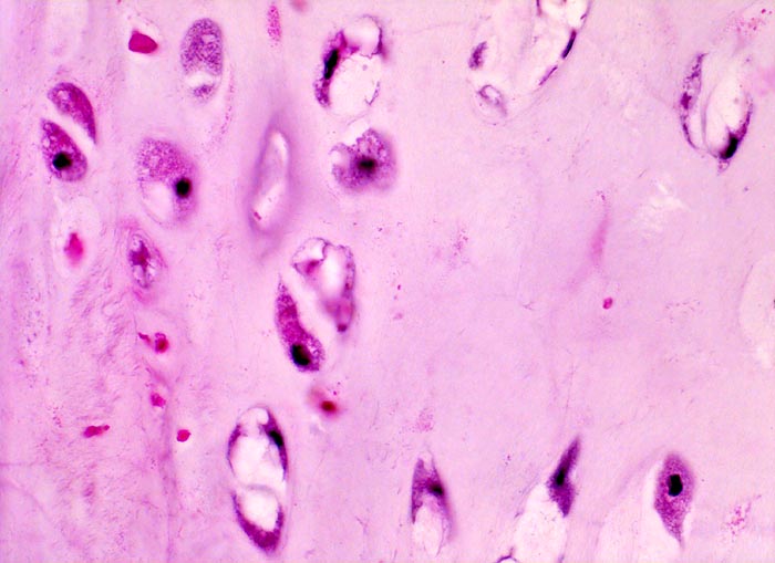
Beschreibung
In hochdifferenzierten Chondrosarkomen liegen die Tumorzellen gruppiert in der chondroiden Matrix wie in normalem Knorpel. Die Tumorzellkerne sind im Vergleich zum Normalgewebe leicht vergrössert und unregelmässig geformt.
Klinik
Umschriebene Schmerzen im Bereich des Rippen-Thorax seit über einem Jahr.
Kommentar
Das Grading der Chondrosarkome ist prognostisch relevant. Die Tumoren werden in drei Grade eingeteilt.
Grad 1: Chondrozyten mit kleinen dichten Kernen, wenig multinukleäre Zellen. Überwiegend chondroide Matrix. Keine erhöhte Zellularität. Keine Mitosen.
Grad 2: erhöhte Zellularität, weniger und oft myxoide Matrix, selten Mitosen, Nekrosen.
Grad 3: Noch höhere Zellularität und Zellpleomorphismus, wenig oder keine chondroide Matrix, Zellanordnung in Bändern und Haufen, ausgeprägte Atypien, Kerne deutlich vergrössert, fast immer Mitosen und Nekrosen.
Bilder Typ
Histologie
Vergrösserung
400
Alter
58
Geschlecht
männlich
Datum
Ersteintrag: 15.04.2002