AP/ Wilms Tumor (Nephroblastom)

Diagnose
Wilms Tumor (Nephroblastom)
Diagnose Gruppe
maligner Tumor
Differenzialdiagnose
Topographie Gruppe
Niere, Harnwege
Topographie
Niere
Einleitung
Histogenese:
Nephroblastome rekapitulieren die embryonale Nephrogenese und bestehen aus wechselnden Anteilen aller Komponenten des metanephrogenen Blastems der embryonalen Niere. Bei 20-40% der Nieren mit Nephroblastom lassen sich persistierende Reste metanephrogenen Blastems nachweisen. Diesen persistierenden metanephrogenen Resten wird die Rolle einer Präneoplasie zugeschrieben.

Morphologie:
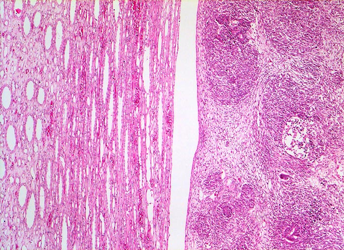
Wilms Tumoren sind typischerweise scharf begrenzt und von einer fibrösen Pseudokapsel umgeben. Die Schnittfläche ist markig, die Farbe variiert von grau über gelblich bis blassrosa. Es können Einblutungen und Nekrosen vorkommen. Die Morphologie wird heutzutage von der präoperativ durchgeführten Chemotherapie bestimmt, die sogar zur vollständigen Nekrose des Tumors führen kann.
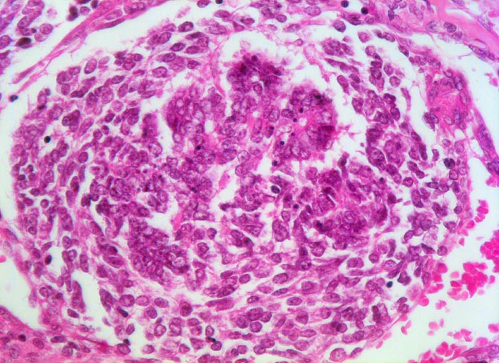
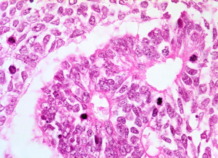
Die klassische Histologie umfasst drei Komponenten, von denen eine quantitativ dominieren kann:
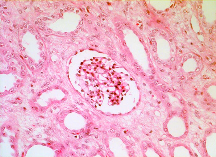
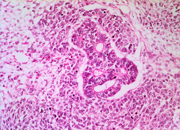
  • Tubuläre Strukturen mit Lumina und unreife Glomerula (epitheliale Komponente).
  • Zellreiche, kompakte, undifferenzierte faserfreie Areale aus zytoplasmaarmen rundlichen Zellen mit hyperchromtischen Kernen (Blastemkomponente).
  • Weniger zellreiche Bezirke aus einem fibrösen oder myxoiden Gewebe (Stroma) mit spindeligen Stromazellen.
Das Stroma kann quergestreifte Muskelfasern, Fettgewebe und hyalines Knorpelgewebe enthalten. Die neoadjuvante präoperative Chemotherapie führt zu Nekrosen des Blastems und der unreifen Tubuli, ausgedehnten Hämorrhagien, Pseudozysten, schaumzellreichen myxoiden Arealen und Fibrosebezirken mit Ansammlungen von Siderophagen. Ein besonders gutes Ansprechen können blastemreiche Tumoren zeigen, die dann aus vollständig nekrotischem Tumorgewebe bestehen. Ihr Kurspräparat zeigt einen Tumor ohne Vorbehandlung, der noch aus der Zeit vor Einsatz der heute üblichen Chemotherapie stammt.
Klinik
Vorkommen:
Das Nephroblastom (Synonym Wilmstumor) ist der häufigste Nierentumor bei Kindern und Jugendlichen mit einer Inzidenz von 1:10.000. Er macht 6-7% aller malignen Tumoren im Kindesalter aus. Der Häufigkeitsgipfel der Nephroblastome liegt zwischen 1. und 4. Lebensjahr.

Symptomatik:
Hauptsymptom ist ein schmerzloser Tumor in abdomine, selten sind Schmerzen, Hämaturie oder Hypertonie. 10 % der Kinder sind symptomlos (Diagnose über Tastbefund bei Vorsorgeuntersuchung). Häufiger als andere solide Tumoren des Kindesalters sind Wilmstumoren verbunden mit Begleitfehlbildungen wie Anomalien des Urogenitaltrakts, des Bewegungsapparates, des ZNS und der Augen. Beidseitige Tumoren sind 10mal häufiger mit zusätzlichen Anomalien verbunden. Mutationen und Deletionen des Tumorsupressorgens WT1 sind bei einzelnen Patienten assoziiert mit Wilmstumor, Aniridie und gelegentlich Anomalien des Urogenitaltrakts, sowie mentaler Retardierung (sogenanntes WAGR-Syndrom). Das WT1 Gen kodiert einen für die normale Entwicklung des Urogenitalsystems wichtigen Transkriptionsfaktor. Für das Beckwith-Wiedemann Syndrom (Makroglossie, Exomphalos, viszeraler Gigantismus, Hemihypertrophie und Nephroblastom) wird ein WT2 Gen postuliert, ist jedoch im Gegensatz zum WT1 Gen bis heute noch nicht sequenziert worden.

Diagnostik und Therapie:
In Europa wird gemäss Protokoll der "Societé Internationale d'Oncologie Pédriatique (SIOP) die primäre Diagnose ausschliesslich radiologisch gestellt. In England kommt eine prätherapeutische diagnostische Stanzbiopsie hinzu. Die histopathologische Beurteilung des Ansprechens auf die Chemotherapie folgt nach einer präoperativen Chemotherapie am Nephrektomiepräparat. Standardtherapieelemente sind Tumornephrektomie, systemische Chemotherapie und Radiotherapie. Durch eine Kombination dieser Therapieelemente sind die höchsten Heilraten zu erzielen. Eine präoperative Chemotherapie erhöht den Anteil der Patienten mit einem postoperativen Tumorstadium I und verringert die Rate der intraoperativen Tumorrupturen. Die Art und Dauer der postoperativen Therapie orientiert sich immer am histologischen Subtyp und dem lokalen Tumorstadium. Die Behandlung sollte in Zentren erfolgen, die eine ausreichende Erfahrung in der Therapie maligner Erkrankungen des Kindesalters besitzen.

Prognose:
Ohne Behandlung ist die Prognose des Nephroblastoms infaust. Mit einer Therapie, wie sie im Rahmen prospektiver Studien durchgeführt wird, ist die Prognose heute jedoch gut. Sie ist abhängig vom Stadium der Erkrankung und dem histologischen Subtyp. Die Prognose wird wesentlich durch das Ansprechen auf die präoperative Chemotherapie und die Resezierbarkeit bestimmt. Im verbleibenden vitalen Tumorgewebe am chemotherapierten Operationspräparat ist eine Dominanz tubulärer Strukturen prognostisch günstiger zu werten als eine Dominanz der Blastemkomponente. Drei bis sieben Prozent der Wilmstumoren zeigen eine Anaplasie, die bei diffusem Vorhandensein mit einer wesentlich schlechteren Prognose assoziiert ist. Die Identifikation molekularer prognostischer Marker ist Gegenstand aktueller Forschung. Es ist zu erwarten, dass die umfassende Diagnostik der Nephroblastome den Routine-Einsatz molekularer Techniken insbesondere in der Pathologie erfordert. Unter Berücksichtigung der Prognosefaktoren werden 90 % der Patienten geheilt. Die meisten Rezidive treten innerhalb der ersten beiden Jahre nach Therapieende auf. Während dieser Zeit sind engmaschige bildgebende Untersuchungen notwendig.
Normalbefund
Morphologie
Morphologische Merkmale:
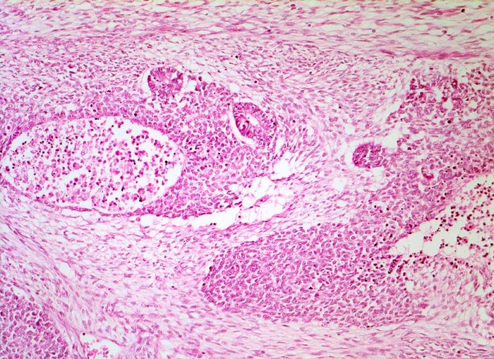
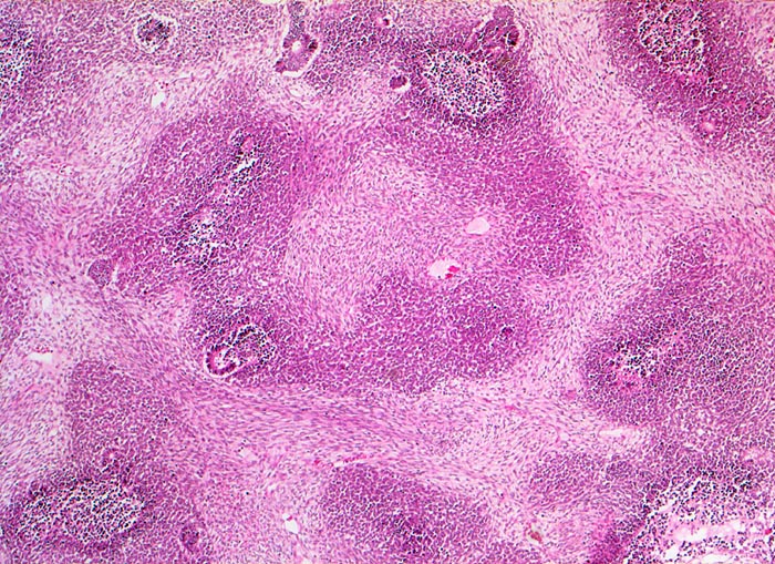
  • Scharf begrenzter triphasischer Tumor mit dunklen und hellen Komponenten.
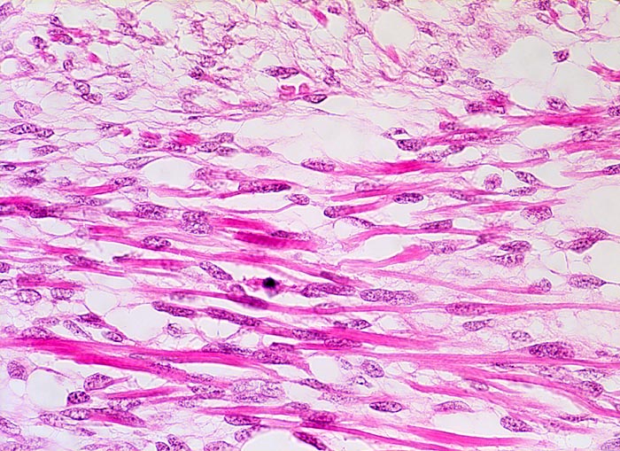
  • Helle Stromakomponente: mesenchymale Spindelzellen, teils mit Skelettmuskeldifferenzierung (Zellen mit kompaktem eosinophilem Zytoplasma mit Querstreifung).
  • Dunkle Blastemkomponente: Scharf begrenzte Knoten und Bänder aus dichtgepackten, scharf begrenzten dunklen zytoplasmaarmen Zellen. Zahlreiche Mitosen. Zentrale Tumornekrosen.
  • Epitheliale Differenzierung: Innerhalb des Blastems epitheliale Komponente in Form von Tubuli.
Das sollte der Kliniker dem Pathologen mitteilen:
  • Radiologische Befunde.
  • Vorbehandlung.
Makroskopie
Virtuelles Präparat
Befund
Pathologischer Befund
Normalbefund
Literatur
Datum
Ersteintrag: 10.07.2019
Update: 10.07.2019