Pathopic
HiPaKu
ZyPaKu
PathoBasic
PathoBasic Cytology
Quizzes
Projektinfos
PathoPic - Projekt- und Copyright-Info
About
Pathopic
HiPaKu
ZyPaKu
PathoBasic
PathoBasic Cytology
Quizzes
PathoPic – image database
/
PathoPic ID 5179 - Wilms-Tumor
de
Diagnose
Wilms-Tumor
Diagnose Gruppe
maligner Tumor
Topographie
Niere
Topographie Gruppe
Paidopathologie
Beschreibung
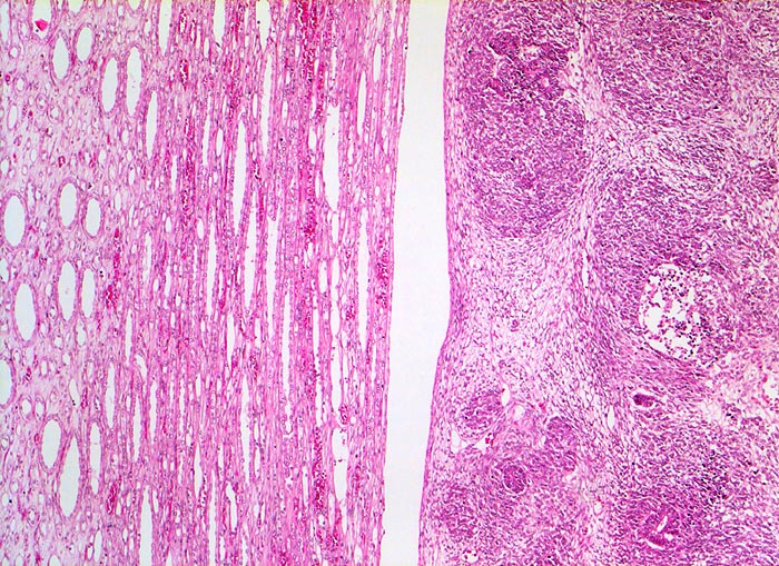
Das Nierenmark (links) wird durch den expansiv wachsenden scharf begrenzten Tumor (rechts) lediglich
komprimiert, nicht aber infiltriert.
Zusatzbefund
Graubrauner scharf begrenzter weicher Tumor mit fokalen Nekrosen und Einblutungen.
Klinik
Palpabler Tumor im linken Hemiabdomen. Makrohämaturieepisode.
Bilder Typ
Histologie
Vergrösserung
50
Alter
1
Geschlecht
männlich
Datum
Ersteintrag: 05.11.2002
CPS
·
©
2024 Institut für Pathologie Basel
/
Dr. med. Katharina Glatz-Krieger
.
·
v2.1