AP/ Perizentrale Schocknekrosen

Diagnose
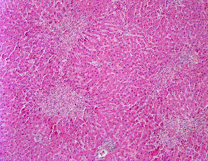
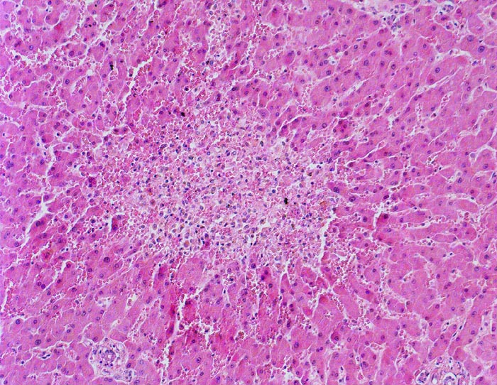
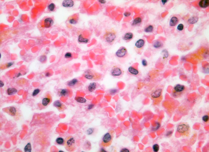
Perizentrale Schocknekrosen
Diagnose Gruppe
vaskulär / Durchblutungsstörung
Differenzialdiagnose
Topographie Gruppe
Leber, Gallenwege, Pankreas
Topographie
Leber
Einleitung
Linksherzversagen oder ein Schockzustand können zu einer hepatischen Minderperfusion mit ischämischen Koagulationsnekrosen der perivenulären Hepatozyten führen. Die Kombination von Hypoperfusion und retrograder Stauung (Rechtsherzversagen) führt zu zentrilobulären hämorrhagischen Nekrosen. Klinisch führen diese Nekrosen zu einer transienten geringen bis mässigen Erhöhung der Transaminasewerte, gelegentlich auch zu einem leichten Ikterus.
Klinik
Metastasierendes Kolonkarzinom. Als Todesursache fanden sich nicht ganz frische zentrale und perizentrale Lungenembolien. 
Morphologie
-
Makroskopie
Virtuelles Präparat
Befund
Pathologischer Befund
Normalbefund
Literatur
Datum
Ersteintrag: 04.11.2018
Update: 16.04.2020