AP/ Akute lymphatische Leukämie (ALL)

Diagnose
Akute lymphatische Leukämie (ALL)
Diagnose Gruppe
maligner Tumor
Differenzialdiagnose
Topographie Gruppe
Lymphatische Gewebe, KM, Milz
Topographie
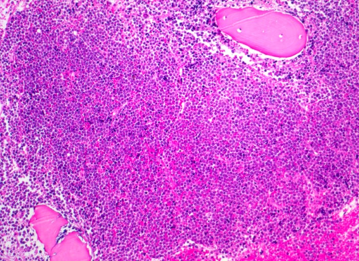
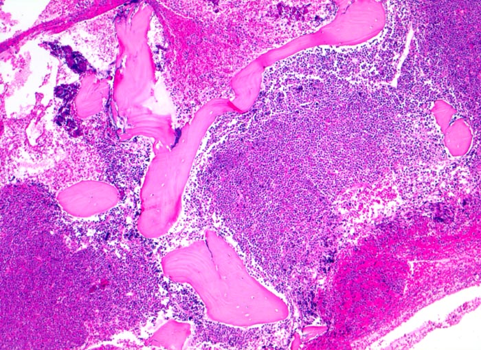
Knochenmark, Beckenkamm
Einleitung
Definition:
Die Vorläufer B- bzw. T- lymphoblastische Leukämie ist eine Neoplasie von Lymphoblasten der B- (85-90%) oder T- (10-15%) Zell Linie.

Morphologie:
Die Blasten (> 736) sind klein bis mittelgross, haben wenig Zytoplasma, mässig kondensiertes oder feindisperses (T-ALL) Chromatin und kleine unscheinbare Nukleolen.

Lokalisation:
Selten tritt die Erkrankung primär nodal oder in extranodalen Lokalisationen (mediastinal, T-ALL) auf mit nur minimalem bzw. fehlendem Befall von Knochenmark und Blut. In diesem Fall spricht man von einem Vorläufer B- bzw. T- lymphoblastischen Lymphom.
Knochenmark und Blut sind bei der ALL immer beteiligt. Häufig ist ausserdem ein Befall des ZNS, von Lymphknoten, Milz, Leber und Gonaden.
Klinik
Vorkommen:
Die ALL tritt vorwiegend bei Kindern und jungen Erwachsenen auf. 75% der Patienten sind unter 6 Jahre alt. Ein zweiter Häufigkeitsgipfel liegt bei über 80 Jahren.

Symptomatik:
Die meisten Patienten zeigen Zeichen einer Knochenmarkinsuffizienz: Thrombozytopenie und/oder Anämie und/oder Neutropenie. Selten sind eine Lymphadenopathie, Hepatomegalie und Splenomegalie nachweisbar. Die massive Knochenmarkinfiltration äussert sich oft in Form von Knochenschmerzen.

Diagnostik:
Gemäss der WHO Klassifikation wird eine akute lymphatische Leukämie diagnostiziert, wenn der Lymphoblastengehalt im Blut oder im Knochenmark mehr als 20% beträgt. Die definitive Diagnose wird am Knochenmarkaspirat und an der Knochenmarkbiopsie gestellt. Die spezifische Diagnose der akuten Leukämien und die Risikoeinteilung basiert auf der Kombination morphologischer und zytochemischer Befunde, der Zytogenetik, Molekulardiagnostik und Immunphänotypisierung.

Therapie:
Die Chemotherapie der ALL wird unterteilt in vier Komponenten: Induktion, Konsolidierung, Erhaltungstherapie und ZNS Prophylaxe. Die Therapie erfolgt risikoadaptiert. Eine allogene Knochenmarktransplantation ist bestimmten Indikationen vorbehalten ("high risk" ALL, Rezidivtherapie).

Verlauf:
Ueber 80% der Kinder mit B-ALL könne geheilt werden. Haupttodesursachen in der Induktion sind Infektionen, Blutungen und die refraktäre Leukämie. Die meisten Leukämierezidive treten in den ersten beiden Jahren auf. Das Rezidivrisiko 3 Jahre nach Therapieabschluss liegt unter 10%.

update 30. August 2012
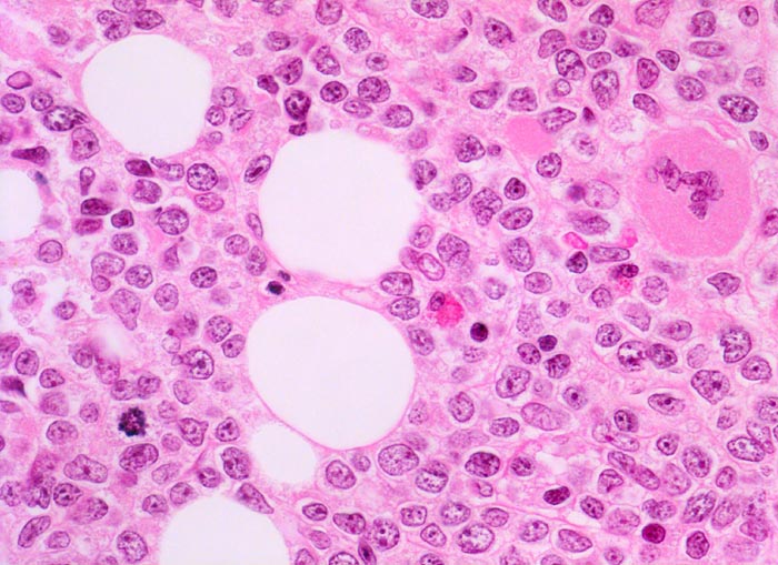
Morphologie
Morphologische Merkmale:
  • Partielle Verdrängung des Fettmarks durch monomorphen Blastenrasen (Zellularität ca. 80%).
  • Verdrängung der Myelo-, Erythro- und Megakaryopoese.
  • Mittelgrosse Lymphoblasten mit wenig Zytoplasma.
  • Kerne mässig polymorph, oval, teils mit Kerneinkerbungen. Feine Nukleolen. Lockeres Chromatin.
  • Zahlreiche Mitosen.
Das sollte der Kliniker dem Pathologen mitteilen:
  • Befund der Aspirationszytologie
  • Blutbild
  • Zytogenetik/Molekulargenetik
  • Immunphänotyp
  • Erstbiopsie oder Verlaufsbiopsie (Therapie)
Makroskopie
Befund
Pathologischer Befund
Normalbefund
Literatur
Datum
Ersteintrag: 14.03.2019
Update: 14.03.2019