PathoPic – image database / PathoPic ID 4023 - Akute lymphatische Leukämie (ALL)

de
Diagnose
Akute lymphatische Leukämie (ALL)
Diagnose Gruppe
maligner Tumor
Topographie
Knochenmark, Beckenkamm
Topographie Gruppe
Lymphatische Gewebe, KM, Milz
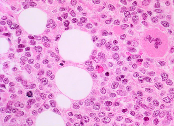
Beschreibung
Mittelgrosse Lymphoblasten. Kerne mässig polymorph, rundlich, teils mit Kerneinkerbungen. Feine Nukleolen. Chromatin relativ locker, aber lymphoid verteilt (Kernmembran orientiert). Mitose. Residueller Megakaryozyt und einzelne myeloische Zellen mit rot granuliertem Zytoplasma.
Klinik
Vergrösserte Lymphknoten, Hepato-Splenomegalie. Knochen- und Gelenkschmerzen, vermehrte Müdigkeit.
Bilder Typ
Histologie
Vergrösserung
630
Alter
13
Geschlecht
männlich
Datum
Ersteintrag: 13.01.2002