Pathopic
HiPaKu
ZyPaKu
PathoBasic
PathoBasic Cytology
Quizzes
Projektinfos
PathoPic - Projekt- und Copyright-Info
About
Pathopic
HiPaKu
ZyPaKu
PathoBasic
PathoBasic Cytology
Quizzes
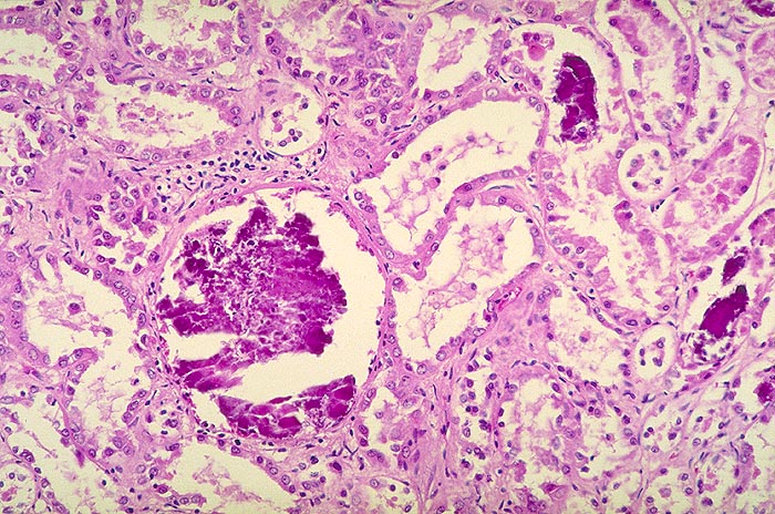
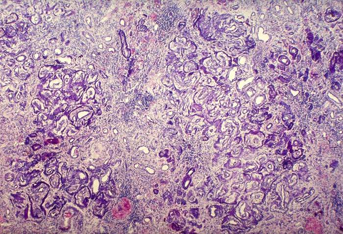
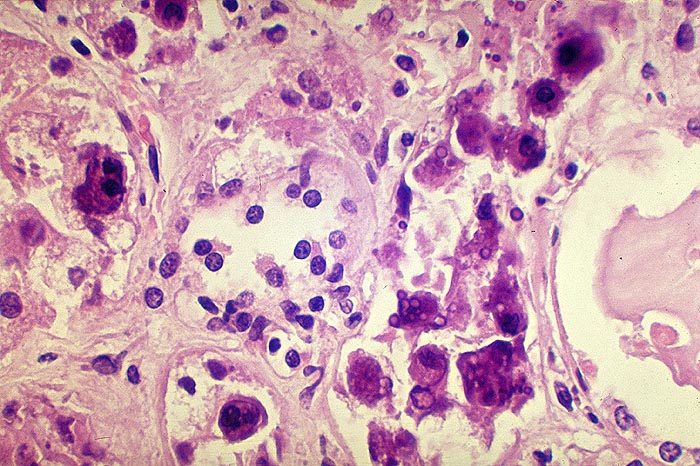
AP/ Nephrokalzinose
Diagnose
Nephrokalzinose
Diagnose Gruppe
Systemerkrankung/Immunpathologie
Differenzialdiagnose
Topographie Gruppe
Niere, Harnwege
Topographie
Niere
Einleitung
-
Klinik
-
Normalbefund
Niere
Morphologie
-
Makroskopie
Virtuelles Präparat
Befund
Pathologischer Befund
Normalbefund
Literatur
Datum
Ersteintrag: 14.01.2010
Update: 14.01.2010
CPS
·
©
2024 Institut für Pathologie Basel
/
Dr. med. Katharina Glatz-Krieger
.
·
v2.1