PathoPic – image database / PathoPic ID 1893 - Nephrokalzinose bei Vitamin D Intoxikation

de
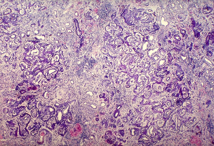
Diagnose
Nephrokalzinose bei Vitamin D Intoxikation
Diagnose Gruppe
Therapiefolgen
Topographie
Niere
Topographie Gruppe
Niere, Harnwege
Beschreibung
Massive Verkalkung der tubulären Basalmembran, hochgradige Tubulusatrophie, schwere interstitielle Fibrose mit geringer Begleitentzündung.
Klinik
Tod in Urämie bei Nephrokalzinose
Kommentar
In klassischen Fällen der metastatischen Verkalkung z.B. bei primärem Hyperparathyreoidismus beginnt die Verkalkung in den Basalmembranen. Folge einer schweren Nephrokalzinose sind interstitielle Fibrose und Entzündung.
Bilder Typ
Histologie
Geschlecht
weiblich
Datum
Ersteintrag: 08.01.2002