Pathopic
HiPaKu
ZyPaKu
PathoBasic
PathoBasic Cytology
Quizzes
Projektinfos
PathoPic - Projekt- und Copyright-Info
About
Pathopic
HiPaKu
ZyPaKu
PathoBasic
PathoBasic Cytology
Quizzes
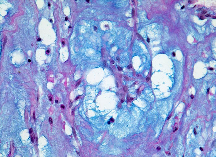
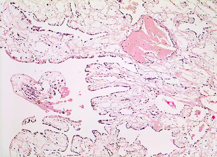
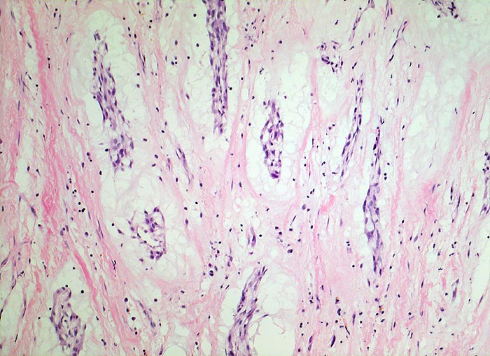
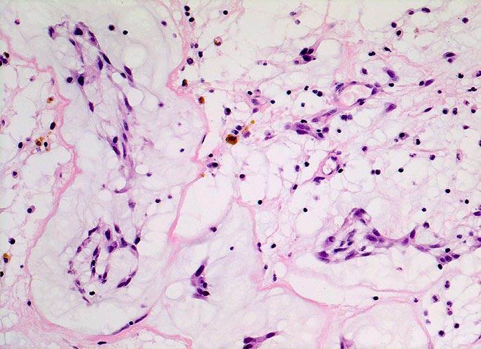
AP/ Vorhofmyxom
Diagnose
Vorhofmyxom
Diagnose Gruppe
benigner Tumor
Differenzialdiagnose
Topographie Gruppe
Kardiovaskuläres System
Topographie
Herz Vorhof
Einleitung
-
Klinik
-
Normalbefund
Morphologie
-
Makroskopie
Virtuelles Präparat
Vorhofmyxom
Befund
Pathologischer Befund
Normalbefund
Literatur
Datum
Ersteintrag: 05.02.2008
Update: 05.02.2008
CPS
·
©
2024 Institut für Pathologie Basel
/
Dr. med. Katharina Glatz-Krieger
.
·
v2.1