Pathopic
HiPaKu
ZyPaKu
PathoBasic
PathoBasic Cytology
Quizzes
Projektinfos
PathoPic - Projekt- und Copyright-Info
About
Pathopic
HiPaKu
ZyPaKu
PathoBasic
PathoBasic Cytology
Quizzes
PathoPic – image database
/
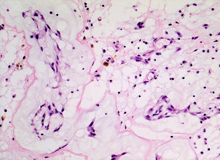
PathoPic ID 3007 - Vorhofmyxom
de
Diagnose
Vorhofmyxom
Diagnose Gruppe
benigner Tumor
Topographie
Herz Vorhof
Topographie Gruppe
Kardiovaskuläres System
Beschreibung
Stark aufgelockertes myxoides Stroma mit Entzündungszellen und
Siderophagen. Im Stroma liegen Nester von spindelförmigen Tumorzellen, die bevorzugt rund um Blutgefässe angeordnet sind.
Bilder Typ
Histologie
Vergrösserung
200
Alter
19
Geschlecht
unbekannt
Datum
Ersteintrag: 23.12.2002
CPS
·
©
2024 Institut für Pathologie Basel
/
Dr. med. Katharina Glatz-Krieger
.
·
v2.1