AP/ Aggressive interstitiell-zelluläre Transplantatabstossung

Diagnose
Aggressive interstitiell-zelluläre Transplantatabstossung
Diagnose Gruppe
Systemerkrankung/Immunpathologie
Topographie Gruppe
Niere, Harnwege
Topographie
Niere
Einleitung
Klassifikation:
Wegen der zunehmenden Verbreitung der Transplantation werden grosse Anstrengungen unternommen, die histologischen Kriterien der Abstossung international zu standardisieren. Dies geschieht in Konsensus-Konferenzen, von denen die Banff-Konferenz die bekannteste ist (Banff: Stadt in Alberta, Kanada). Sie ist die gebräuchlichste einer Reihe von Klassifikationen und setzt sich auch in Europa zunehmend durch. Sie ist für Multizenterstudien nicht jedoch für die Beurteilung individueller Biopsien geeignet. Die Nomenklatur der Abstossungsreaktion ist verwirrend. Klinisch orientiert man sich am zeitlichen Auftreten der Abstossung (hyperakut, akut, chronisch). Grundsätzlich sollte diese Nomenklatur durch eine morphologische Nomenklatur (siehe unten) ersetzt werden, da der Pathologe hyperakut, akut und chronisch nicht "sehen" kann.

Verlauf und Morphologie:
Man unterscheidet verschiedene Formen der Transplantatabstossung, die sich bezüglich bevorzugtem zeitlichem Auftreten, Pathogenese und Morphologie voneinander unterscheiden:
  • Hyperakute Abstossung:
    Beginn innert 24 Stunden nach Transplantation. Sie wird verursacht durch die Anwesenheit von zum Zeitpunkt der Transplantation bereits vorhandenen Antikörpern gegen den Spender. Der Prozess ist irreversibel und erfordert eine sofortige Reoperation. Thrombosierte Arterien, Arteriolen und Glomerula sowie die konsekutiven Rindennekrosen sind das morphologische Korrelat.
  • Akzelerierte akute Abstossung:
    Innert 1 bis 5 Tagen postoperativ, meist bei mehrfach transplantierten Patienten. Sie wird meist durch Antikörper gegen den Spender verursacht.
  • Akute Abstossung (vorliegendes Präparat):
    Typischerweise innert 1 bis 5 Wochen (meist innerhalb der ersten 3 Monate, kann aber jederzeit auftreten) nach Transplantation. Es handelt sich in erster Linie um einen zellvermittelten Prozess mit antigenspezifischer Immunantwort bei Histoinkompatibilität zwischen Spender und Empfänger (Coombs-Typ IV). Bei einem Grossteil der akuten Abstossungen mit Gefässbefall (Endarteritis) und/oder Transplantat-Glomerulitis sind gleichzeitig Antikörper gegen HLA-Antigene nachweisbar. Bei den meisten akuten Abstossungsreaktionen besteht ausschliesslich eine tubulo-interstitielle Entzündung mit Lymphozyten, Histiozyten und später Plasmazellen. Der Prozess ist heute meist reversibel. Histologisch unterscheidet man eine akute tubulointerstitielle, eine vaskuläre, selten eine glomeruläre Abstossung und Mischformen.
  • Chronische Transplantatnephropathie:
    Die sogenannte chronisch sklerosierende Transplantatnephropathie ist entweder auf wiederholte akute Abstossungsreaktionen, auf nicht abstossungsbedingte Ursachen oder eine Kombination beider Faktoren zurückzuführen. Zu den nicht abstossungsbedingten Ursachen zählen: Ischämie, Hypertonie, nephrotoxische Medikamente, Infekte, erhöhter Druck in den ableitenden Harnwegen. Rund die Hälfte der chronischen Transplantatnephropathien wird verursacht durch wiederholte akute Abstossungen des Transplantats. Sie tritt Wochen bis Jahre nach Transplantation in Erscheinung und nimmt oft einen schleichenden Verlauf. Die chronische Abstossung manifestiert sich als Transplantat-Glomerulopathie oder Transplantat-Vaskulopathie und führt zu Tubulusatrophie und interstitieller Fibrose.
    Bei der nicht abstossungsbedingten Transplantatnephropathie stehen Tubulusatrophie, interstitielle Fibrose, Arterio- und Arteriolosklerose und andere Veränderungen im Vordergrund.

    update 7. September 2011
Klinik
Symptomatik:
Die klassischen Symptome der akuten Abstoßungsreaktion: allgemeines Unwohlsein, Fieber, Verminderung der Urinausscheidung, Gewichtszunahme, erhöhter Blutdruck, Schmerzen im Transplantat. Bei regelmäßig durchgeführter Nachsorge werden Abstoßungsreaktionen aber in der Regel noch vor dem Auftreten klinischer Symptome erkannt.

Diagnostik und Therapie:
Bei einer Verschlechterung der Nierenfunktion nach Transplantation kann eine frühzeitig durchgeführte Biopsie meist wichtige Hinweise auf die Ätiologie der klinischen Symptomatik liefern und die Therapieentscheidung massgeblich beeinflussen. Durch eine adäquate und frühzeitig einsetzende Steigerung der Immunsuppression bei Zeichen einer Abstossung kann der Transplantatverlust in der Regel verhindert werden.
Normalbefund
Morphologie
Morphologische Merkmale:
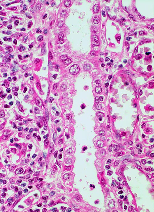
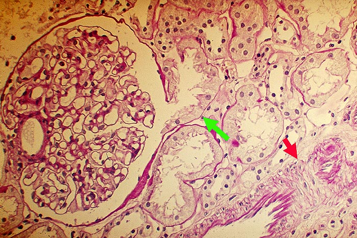
  • Grosse Biopsie aus Nierenmark und -rinde, letztere mit 13 Glomeruli, alle mit normalem Zell- und Matrixgehalt sowie zarten Kapillarschlingen
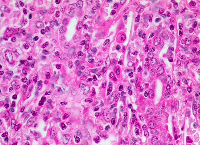
  • Tubulärer Apparat der Rinde mit ödematös verbreitertem und herdförmig dicht lymphohistiozytär durchsetztem Interstitium
  • Vereinzelt Lymphozyten im Tubulusepithel (Tubulitis)
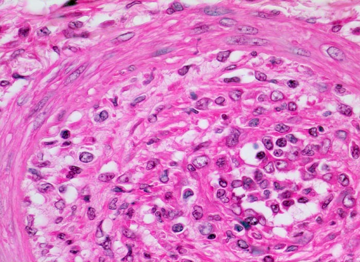
  • Eine von 6 grossen bzw. mittelgrossen Interlobulararterien mit segmental verbreiterter, fibrosierter Intima mit Myofibroblasten und mit subendothelial gelegenen Leukozyten (Endothelialitis)
Das sollte der Kliniker dem Pathologen mitteilen:
  • Grunderkrankung, die zur Transplantation geführt hat.
  • Datum der Transplantation und bisheriger Verlauf.
  • Art der immunsuppressiven Therapie.
  • Vorliegen einer Infektion.
  • Klinische Zeichen der Abstossung.

update 7. September 2011
Makroskopie
Befund
Pathologischer Befund
Normalbefund
Datum
Ersteintrag: 14.03.2019
Update: 14.03.2019