AP/ Pseudomembranöse Enterokolitis

Diagnose
Pseudomembranöse Enterokolitis
Diagnose Gruppe
Entzündung infektiös
Differenzialdiagnose
  • - Ischämische Kolitis- Schockenteropathie- Infektiöse Kolitis (nicht pseudomembranös)
Topographie Gruppe
Darm, Anus
Topographie
Kolon
Einleitung
Aetiologie:
Die pseudomembranöse Kolitis tritt auf nach oraler und nach parenteraler Antibiotikaapplikation (Clindamycin, Lincomycin, Tetrazyklin, Ampicillin etc.). Antibiotika unterdrücken die normale Bakterienflora des Darmes und verursachen ein Wachstum z.B. von Clostridien, Enterobacter, Proteus, Staphyloccocus aureus und Candida. Clostridioides difficile (bis 2016 Clostridium difficile genannt), ein gram-positives, anaerobes Bakterium ist nicht Bestandteil der physiologischen Darmflora. Als Virulenzfaktoren bildet der Keim die Toxine A (Entero- und Zytotoxin) und B (Zytotoxin). 

Morphologie:
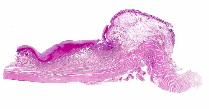
In leichten Fällen erscheint das Kolon minimal entzündlich verändert und ödematös. In schwereren Fällen ist die Mukosa bedeckt von locker adhärenten nodulären oder diffusen exsudativen Plaques von 2-5mm Durchmesser, welche konfluieren können. Die morphologische Unterscheidung von einer ischämischen Kolitis kann schwierig sein. 
Klinik
Vorkommen:
Diarrhoe nach Antibiotikagabe tritt bei 5-40% der behandelten Patienten auf. 10% der Patienten mit Diarrhoe entwickeln zusätzlich eine pseudomembranöse Kolitis. Toxine von Clostridioides difficile sind bei 2-25% der Patienten mit Antibiotika-assoziierter Diarrhö ohne Colitis, bei 50-70% der Patienten mit Enterokolitis ohne Pseudomembranen und bei 90-100% mit pseudomembranöser Enterokolitis im Stuhl nachweisbar. 

Symptomatik:
Die betroffenen Patienten haben wässrige oder schleimige Diarrhoe gelegentlich mit kleinen Blutbeimengungen, krampfartige Bauchschmerzen, Fieber und sehr selten eine Oligoarthritis oder Iridozyklitis. Die Krankheit kann innerhalb von Tagen nach Antibiotikagabe aber auch erst mit einer Latenz von bis zu 6 Wochen nach Absetzen der Antibiotika auftreten. 
 
Diagnostik:
Eine C. difficile Infektion wird entweder bei passendem klinischen Erscheinungsbild mit ≥ 3 mal flüssigem Stuhlgang pro Tag (keine Laxanzien in den letzten 48h) und dem Nachweis von Toxin-A und/oder B-produzierendem C. difficile im Stuhl ohne andere Diarrhoeursache diagnostiziert oder bei einer pseudomembranösen Kolitis. Da viele Menschen asymptomatische Träger von C. difficile sind (bis 21% der Spitalpatienten!), sollte nur bei entsprechender Symptomatik eine Diagnostik auf C. difficile durchgeführt werden. Zunächst wird ein Screeningtest mit hohem negativem Vorhersagewert und  hoher Sensitivität (z.B. PCR) für Clostridioides difficile bei einer bestätigten Diarrhoe durchgeführt. Bei positivem Ausfall des Screeningtests sollte die Diagnose mittels eines spezifischen Tests (Nachweis von Toxin A/B im Stuhl) bestätigt werden. 
 
Therapie:
In leichten Fällen ist eine supportive Therapie ausreichend. Bei schwerer Diarrhoe ist eine gegen Clostridien gerichtete Antibiotikatherapie angezeigt. Antiperistaltische Medikamente sollten vermieden werden. Das toxische Megakolon erfodert meistens einen operativen Eingriff. 
 
 Komplikationen:
 Mögliche Komplikationen sind ein hypovolämischer Schock, Dehydration, Hypoproteinämie, eine Zökumperforation, ein toxisches Megakolon, Blutungen oder eine Sepsis. 
 
 Prognose:
 Die Mortalität liegt bei 2%. Bei Patienten mit toxischem Megakolon bei 35%. 
 
Update 2. September 2020

Normalbefund
Morphologie
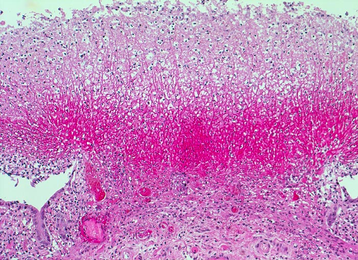
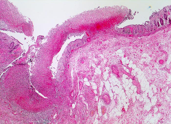
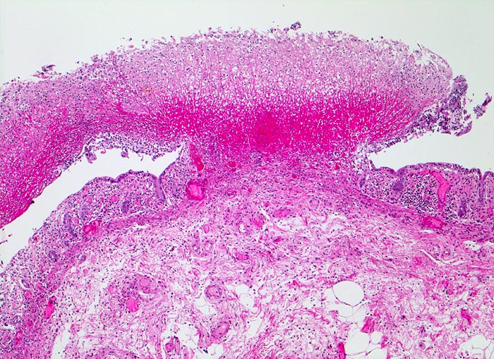
Morphologische Merkmale: 
  • Herdförmige Schleimhautnekrosen. 
  • In den Nekrosezonen pilzförmige Pseudomembranen bestehend aus nekrotischem Detritus, Entzündungszellen und Fibrin. 
  • Zwischen den Pseudomembranen normale Kolonschleimhaut. Das sollte der Kliniker dem Pathologen mitteilen: 
  • Wässrige oder schleimige Diarrhoe nach Antibiotikatherapie. 
  • Nachweis von Clostridium difficile. 
  • Risikofaktoren für ischämische Kolitis oder bekannte ischämische Kolitis. 
Makroskopie
Virtuelles Präparat
Befund
Pathologischer Befund
Normalbefund
Datum
Ersteintrag: 17.11.2018
Update: 01.09.2020