PathoPic – image database / PathoPic ID 3543 - pseudomembranöse Kolitis

de
Diagnose
pseudomembranöse Kolitis
Diagnose Gruppe
Entzündung infektiös
Topographie
Kolon
Topographie Gruppe
Darm, Anus
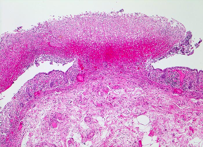
Beschreibung
In der Mitte ein oberflächliches Schleimhautulkus. Daraus quillt eine pilzförmige Pseudomembran aus Fibrin, Detritus und Entzündungszellen hervor.
Klinik
Schwere Diarrhoe, Fieber, Erbrechen, krampfartige Bauchschmerzen 4 Tage nach Beginn einer Antibiotikatherapie mit Ampicillin. Im Stuhl Nachweis von Clostridien Toxinen. Endoskopisch typisches Bild mit erhabenen gelben Plaques auf der Mukosa.
Kommentar
Echte Membranen bestehen aus einem Epithel, deshalb der Ausdruck Pseudomembran für die Auflagerungen aus Fibrin, Detritus und Entzündungszellen bei der pseudomembranösen Kolitis.
Bilder Typ
Histologie
Vergrösserung
50
Alter
67
Geschlecht
männlich
Datum
Ersteintrag: 25.09.2002