ETHZ allg/ Gastrointestinaler Stromatumor (GIST)

Diagnose
Gastrointestinaler Stromatumor (GIST)
Diagnose Gruppe
Präneoplasie/ Atypie/ Dignität?
Differenzialdiagnose
Topographie Gruppe
Oesophagus, Magen
Topographie
Magen
Einleitung
Histogenese und Pathogenese:
Gastrointestinale Stromatumoren (GIST) sind die häufigsten mesenchymalen Tumoren im Gastrointestinaltrakt. Als Ursprungszellen der GIST gelten die interstitiellen Cajal-Zellen, die als Schrittmacher-Zellen in der Darmwand lokalisiert sind und die Darmmotilität kontrollieren. GIST exprimieren immunhistochemisch KIT=CD117 (95%) (> 1087), DOG1 (90%) oder CD34 (60-70%). Die Mehrheit der GIST (80-85%) weisen eine onkogene Treiber Mutation im KIT-Gen auf, die zu einem dauerhaft aktivierten KIT-Protein führt. 8.5% zeigen eine aktivierende Treiber Mutation im PDGFR-alpha Gen. GIST mit KIT und PDGRFA Wildtyp sind eine heterogene Tumorgruppe, welche unter anderem Tumoren bei Kindern und im Rahmen familiärer Tumorsyndrome umfasst. 

Lokalisation:
GIST können überall im tubulären Gastrointestinaltrakt, im Omentum und im Mesenterium vorkommen. Sie sind mit 50 bis 70 % am häufigsten im Magen, gefolgt von ca. 20 bis 30 % im Dünndarm lokalisiert. Wesentlich seltener haben sie ihren Ursprung im Dickdarm oder in der Speiseröhre. Maligne GIST breiten sich intraabdominal als multiple Tumorknoten aus und bilden hämatogene Fernmetastasen am häufigsten in Leber, Lunge und Knochen. Lymphknotenmetastasen sind bei GIST im Erwachsenenalter sehr selten. Multiple Tumoren sprechen für ein metastasiertes Tumorleiden oder eine hereditäre Genese. In einem Teil dieser Fälle handelt es sich aber um mehrere sporadische, meist kleine und wenig aggressive Primärtumoren mit unterschiedlichen Mutationen. 

Morphologie: 
Makroskopisch imponieren kleine Tumoren als peritoneale, intramurale oder submuköse Knoten. Grössere Tumoren wölben sich oft vor und können ulzerieren. Die Schnittfläche ist weisslich und kann Einblutungen, Zysten, Fibroseareale oder Nekrosen aufweisen. Histologisch werden Spindelzelltyp (70%), Epitheloidzelltyp (20%) oder gemischtzelliger Typ (10%) unterschieden. Der histologische Subtyp scheint keinen Zusammenhang mit zugrundeliegender Mutation, Therapieansprechen und Prognose zu haben. Gelegentlich sind vor allem die kleineren Tumoren zellarm und kollagenreich. 

Differentialdiagnosen: 
GIST können zahlreiche andere benigne und maligne mesenchymale Tumoren sowie spindelzellige Metastasen imitieren z.B. Leiomyom, Leiomyosarkom, Schwannom, Melanom. Deshalb sind für die Bestätigung der Tumorentität immunhistochemische Untersuchungen zwingend notwendig. 

Prognose: 
Das Risiko eines Rezidivs oder der Metastasierung ist bestimmt durch die Grösse, den mitotischen Index (> 36), die Lokalisation des Primärtumors, Intaktheit des Tumors nach Resektion und die molekulare Alteration. So sind beispielsweise Stromatumoren des Dünndarms gegenüber solchen des Magens trotz vergleichbarer Grösse und mitotischen Index mit einem höheren Progressionsrisiko assoziiert. Klinisch findet sich das ganze Spektrum von kleinen gutartigen oft zufällig entdeckten Tumoren bis zu eindeutig malignen metastasierenden tödlich verlaufenden Sarkomen. Es gibt keine Kriterien, die es erlauben, die Dignität gastrointestinaler Stromatumoren eindeutig festzulegen. Man behilft sich mit einer Risikostratifikation nach Miettinen und Lasota, welche die Tumorlokalisation, die Tumorgrösse und die Anzahl Mitosen berücksichtigt. Tumoren des Magens <2cm ohne Mitosen haben kein Progressionsrisiko. Grosse Dünndarmtumoren mit zahlreichen Mitosen haben ein hohes Progressionsrisiko. In die Abdominalhöhle rupturierte GIST haben ein sehr hohes Rezidivrisiko.
 

update 20. August 2017 
Klinik
Vorkommen:
Inzidenz und Prävalenz der GIST wurden lange Zeit unterschätzt, bis grosse epidemiologische Studien jährliche Inzidenzraten von klinisch relevanten GIST von 15 bis 20 pro Million Einwohner zeigten. In Autopsiestudien liegt die Prävalenz deutlich höher. In 35% aller Autopsien findet man im Magen asymptomatische, klinisch irrelevante GIST von 2-10mm Durchmesser ohne Malignitätspotential. Das mittlere Alter bei Diagnosestellung liegt zwischen 55 und 65 Jahren. Männer sind etwas häufiger betroffen als Frauen. 

Symptomatik:
Zwei Drittel der Patienten mit GIST werden erstmals wegen Symptomen wie Schluckstörungen,Verstopfung, gastrointestinalen Blutungen oder Unterleibsschmerzen diagnostiziert. Manche GIST werden zufällig bei endoskopischen, radiologischen oder chirurgischen Untersuchungen entdeckt. 

Diagnostik:
Biopsien können Blutungen des Tumors verursachen und das Risiko der Metastatisierung erhöhen, da GIST fragile Tumore sind. Eine Biopsie wird nur dann empfohlen, wenn bei der chirurgischen Resektion voraussichtlich keine tumorfreien Ränder garantiert werden können und daher eine präoperative Therapie in Betracht gezogen wird. Zur Vermeidung von Tumorruptur und Blutungen ist die endoskopische Biopsie der perkutanen Biopsie vorzuziehen. Die Genotypisierung wird für alle GIST-Patienten empfohlen, für die eine systemische Therapie vorgesehen ist. Zufällig entdeckte, kleine Tumore im Magen (<2 cm) erfordern keine Mutationsanalyse. Die Mutationsanalyse liefert sowohl eine prognostische als auch eine prädiktive Aussage. Bestimmte Mutationen erfordern eine Dosissteigerung des Tyrosinkinaseinhibitors Imatinib oder zeigen eine Resistenz auf dieses Medikament an. 

Therapie:
Die chirurgische Entfernung kleiner oft zufällig entdeckter GIST ist in der Regel kurativ. Die Entdeckung, dass GIST und deren Vorläuferzellen das Oberflächenantigen KIT (CD117) exprimieren, und die Identifikation eines dauerhaft aktiven Rezeptors in den meisten GIST führte 2001 zur Einführung des Tyrosinkinasehemmers (TKI) Imatinib als erste wirksame systemische Therapie für adjuvante Therapie von Hochrisikotumoren bzw. die Behandlung fortgeschrittener oder metastasierter GIST. 

update 10. August 2017 
Morphologie
Morphologische Merkmale: 
  • Scharf begrenzter kugeliger Tumor in der Submukosa des Magenantrums
  • Über dem Tumor entzündungsfreie Antrumschleimhaut mit partiell reepithelialisiertem oberflächlichem Ulkus (Quellungsfibrinoid). 
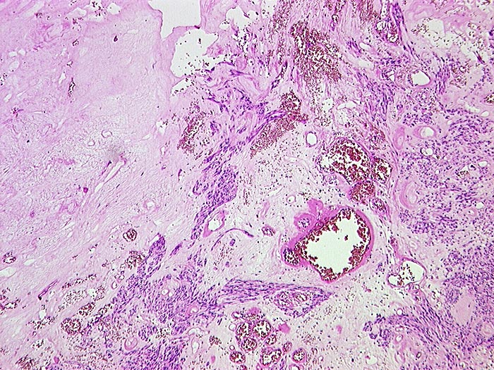
  • Der Tumor besteht aus längs und quer getroffenen Faszikeln spindelförmiger Tumorzellen, welche an glatte Muskelzellen oder Schwannzellen erinnern. 
  • Herdförmig pseudozystische Auflockerung des Tumorgewebes. 
  • Risikostratifikation nach Miettinen und Lasota (2006): Very low risk (sehr niedriges Risiko für Metastasen oder tumorbedingte Mortalität): Lokalisation im Magen, Grösse 22mm, fehlende Mitosen. 

Das sollte der Kliniker dem Pathologen mitteilen: 
  • Genaue Lokalisation und Grösse des Tumors 
  • Vorhandensein multipler Herde oder von Metastasen 
  • Positive Familienanamnese 
  • Intraoperative Tumorruptur 

update 10. August 2017 
Befund
Pathologischer Befund
Normalbefund
Datum
Ersteintrag: 17.11.2018
Update: 03.10.2019