PathoPic – image database / PathoPic ID 36 - GIST

de
Diagnose
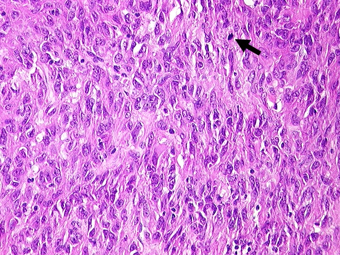
GIST
Diagnose Gruppe
maligner Tumor
Topographie
Jejunum
Topographie Gruppe
Darm, Anus
Beschreibung
Spindelzelliger Tumor mit Mitosen.
Zusatzbefund
13cm grosser Tumor im Jejunum. Im EM synapsenartige Strukturen mit neurosekretorischen Granula und skeinoid fibres.
Kommentar
Es wird vorgeschlagen die gastrointestinalen Stromatumoren, welche CD117 positiv reagieren als GIPACT zu benennen. Die CD 117 positiven Tumoren scheinen von interstitiellen Schrittmacher Zellen von Cajal abzustammen.
Gastrointestinal pacemaker cell tumor... S. Schmid, W. Wegmann. Virchows Archive 2000. 436: 234-242.
Bilder Typ
Histologie
Alter
55
Geschlecht
männlich
Datum
Ersteintrag: 23.10.2001