pit/ Hautmetastase eines Nierenzellkarzinoms

Diagnose
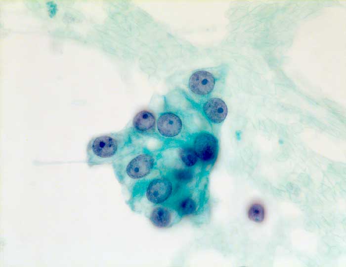
Hautmetastase eines Nierenzellkarzinoms
Diagnose Gruppe
maligner Tumor
Differenzialdiagnose
Topographie Gruppe
Haut
Topographie
Haut, Hals
Einleitung
Nicht selten werden solitäre Metastasen eines okkulten Nierenzellkarzinoms fälschlicherweise für einen Primärtumor gehalten. Bevor man ein klarzelliges Karzinom an ungewöhnlicher Stelle (Lunge, Schilddrüse, Pankreas...) diagnostiziert, sollte man an die Möglichkeit eines metastasierenden Nierenzellkarzinoms denken. Da Nierenzellkarzinome auch noch Jahre nach kurativer Resektion und praktisch überallhin metastasieren können, muss bei einem klarzelligen Tumor immer nach einem Nierentumor in der Vorgeschichte des Patienten geforscht werden.
Klinik
-
Normalbefund
Morphologie
Makroskopie
Virtuelles Präparat
Befund
Pathologischer Befund
Normalbefund
Literatur
Datum
Ersteintrag: 01.04.2003
Update: 01.04.2003