pit/ Zytostatikaschaden des Bronchialepithels

Diagnose
Zytostatikaschaden des Bronchialepithels
Diagnose Gruppe
Therapiefolgen
Differenzialdiagnose
Topographie Gruppe
Lunge, Mediastinum mit Thymus
Topographie
Bronchialbürste, Zytologie
Einleitung
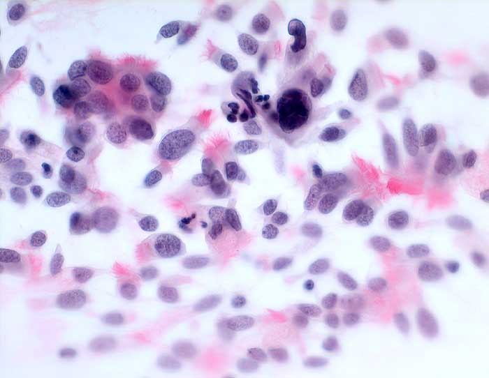
Unter zytostatischer Behandlung mit alkylierenden Substanzen oder Medikamenten, die in den DNS-Stoffwechsel oder die Mitosespindel eingreifen, werden regenerierende Epithelien geschädigt. Zytologisch sind die Flimmerzellen unterschiedlich stark vergrössert und enthalten oft hyperchromatische und entrundete Kerne. Intakte Bronchialepithelien unterscheiden sich von Karzinomzellen durch das Vorhandensein von Flimmerhaaren und eine normale Kern-Zytoplasmarelation. Unten werden zwei verschiedene Fälle gezeigt.
Klinik
-
Normalbefund
Morphologie
Makroskopie
Virtuelles Präparat
Befund
Pathologischer Befund
Normalbefund
Literatur
Datum
Ersteintrag: 01.04.2003
Update: 01.04.2003