PathoPic – image database / PathoPic ID 5743 - Zytostatikaschaden des respiratorischen Epithels

de
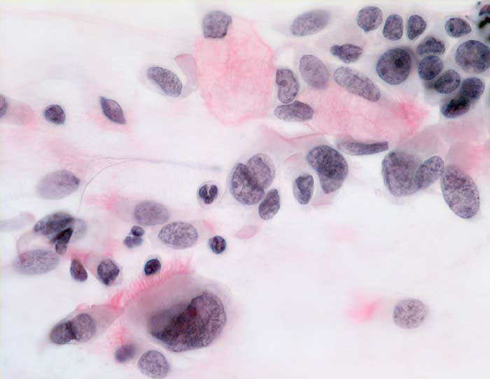
Diagnose
Zytostatikaschaden des respiratorischen Epithels
Diagnose Gruppe
Therapiefolgen
Topographie
Bronchialbürste, Zytologie
Topographie Gruppe
Lunge, Mediastinum mit Thymus
Beschreibung
Bürstenbiopsie Bronchus: Flimmerzellen mit vergrösserten, manchmal entrundeten und hyperchromatischen Kernen. Einzelne Riesenflimmerzellen und Becherzellen.
Klinik
St.n. Chemotherapie
Kommentar
Zytologische Diagnose: Zytostatikaschaden des respiratorischen Epithels.
Liegen die Kerne isoliert, kann es, besonders wenn zur Hyperchromasie eine gewisse Polymorphie hinzutritt, schwierig sein, die Dignität der Veränderung zu bestimmen.
Bilder Typ
Zytologie
Vergrösserung
630
Alter
66
Geschlecht
unbekannt
Datum
Ersteintrag: 02.12.2002
Update: 17.02.2003