pit/ Mesothelialer Zellverband

Diagnose
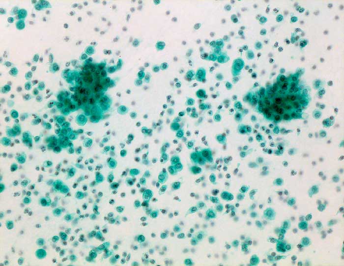
Mesothelialer Zellverband
Diagnose Gruppe
Entzündung / Reparatur
Differenzialdiagnose
Topographie Gruppe
Körperhöhlen, Serosa
Topographie
Aszites
Einleitung
Mesothelzellen können Tumoren imitieren, indem sie kleine Gruppen, Pseudoverbände, Zellballen, Pseudopapillen, "cell in cell" und "Indian files" ausbilden. Unter reaktiven Bedingungen kommen sehr grosse und mehrkernige Mesothelzellen vor. Durch Ausbildung von grossen intrazytoplasmatischen Vakuolen können reaktive Mesothelien ein Siegelringzellkarzinom imitieren.
Klinik
-
Normalbefund
Morphologie
Makroskopie
Virtuelles Präparat
Befund
Pathologischer Befund
Normalbefund
Literatur
Datum
Ersteintrag: 01.04.2003
Update: 01.04.2003