PathoPic – image database / PathoPic ID 5804 - mesothelialer Pseudoverband

de
Diagnose
mesothelialer Pseudoverband
Topographie
Aszites
Topographie Gruppe
Körperhöhlen, Serosa
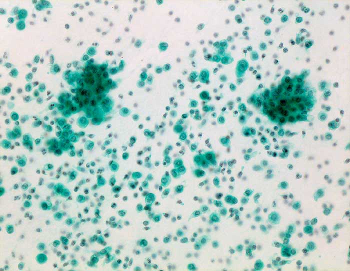
Beschreibung
Aszites: neben einzeln liegenden Mesothelzellen, Makrophagen und Granulozyten vereinzelte flächenhafte mesotheliale Pseudoverbände
Klinik
V.a. Leberzirrhose. Aszites und Splenomegalie mit Hypersplenismus.
Kommentar
Bei Lebererkrankungen treten hin und wieder mesotheliale Pseudoverbände auf, die zu Fehlbeurteilungen führen können.
Bilder Typ
Zytologie
Vergrösserung
200
Alter
77
Geschlecht
männlich
Datum
Ersteintrag: 12.12.2002
Update: 17.02.2003