pit/ Reaktiv veränderte Mesothelzellen

Diagnose
Reaktiv veränderte Mesothelzellen
Diagnose Gruppe
Entzündung / Reparatur
Differenzialdiagnose
Topographie Gruppe
Körperhöhlen, Serosa
Topographie
Aszites
Einleitung
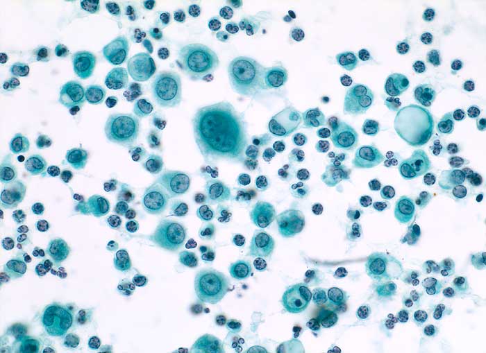
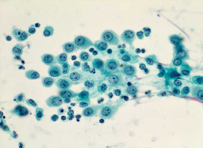
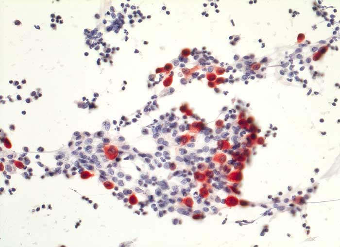
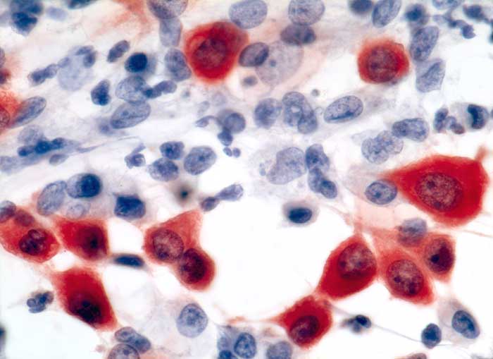
Irritierte Mesothelzellen beginnen zu proliferieren. Die Zellen werden plump und kubisch, die Kerne sind vergrössert. Diese reaktiven Mesothelien können mit Karzinomzellen verwechselt werden. Mesothelzellen können Tumoren imitieren, indem sie kleine Gruppen, Pseudoverbände, Zellballen, Pseudopapillen, "cell in cell" und "Indian files" ausbilden. Unter reaktiven Bedingungen kommen sehr grosse und mehrkernige Mesothelzellen vor. In Zweifelsfällen empfiehlt sich eine immunzytochemische Untersuchung mit Calretinin (Mesothelien positiv) und BerEP4 (Karzinomzellen positiv).
Klinik
-
Normalbefund
Morphologie
Makroskopie
Virtuelles Präparat
Befund
Pathologischer Befund
Normalbefund
Literatur
Datum
Ersteintrag: 01.04.2003
Update: 01.04.2003