PathoPic – image database / PathoPic ID 5398 - reaktiv veränderte Mesothelien

de
Diagnose
reaktiv veränderte Mesothelien
Diagnose Gruppe
Präneoplasie/ Atypie/ Dignität?
Topographie
Aszites
Topographie Gruppe
Körperhöhlen, Serosa
Beschreibung
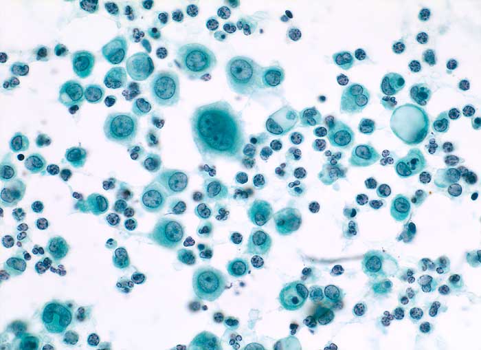
Aszites: neben zahlreichen Granulozyten, Lymphozyten und teils phagozytierenden Makrophagen sind teils mehrkernige Mesothelzellen und Siegelringzellen erkennbar. Letztere entsprechen ebenfalls Mesothelien, können aber ohne Immunhistochemie nicht sicher von Karzinomzellen abgegrenzt werden.
Zusatzbefund
Die atypischen Zellen zeigen folgendes Markerprofil:
Alpha-Fetoprotein: negativ.
Hepatocyte: negativ.br> PSA: negativ.
TTF1: negativ.
CK20: negativ.
CK7: positiv.
Calretinin: positiv.
Klinik
Aszites. Verdacht auf hepatozelluläres Karzinom.
Kommentar
Dieses immunhistochemische Markerprofil, insbesondere die deutliche Positivität für den Mesothel-Marker Calretinin und fehlende Expression des Epithelmarkers Ber-EP4, passen am ehesten zu Zellen mesothelialen Ursprungs. Auch Zytokeratin 7 wird in normalen Mesothelien typischerweise exprimiert. Insgesamt sprechen die Befunde für ausgeprägte reaktive Veränderungen und gegen ein Karzinom. Insbesondere bei Leberzirrhose werden gelegentlich schwere reaktive Mesothelveränderungen im Aszites beobachtet, die zytologisch ein Karzinom vortäuschen können.
Bilder Typ
Zytologie
Vergrösserung
400
Alter
83
Geschlecht
männlich
Datum
Ersteintrag: 20.11.2002