l/ Hodgkin Lymphom

Diagnose
Hodgkin Lymphom
Diagnose Gruppe
maligner Tumor
Differenzialdiagnose
Topographie Gruppe
Lymphatische Gewebe, KM, Milz
Topographie
Lymphknoten, Kopf-cervikal
Einleitung
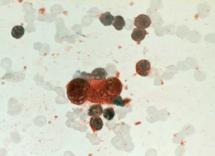
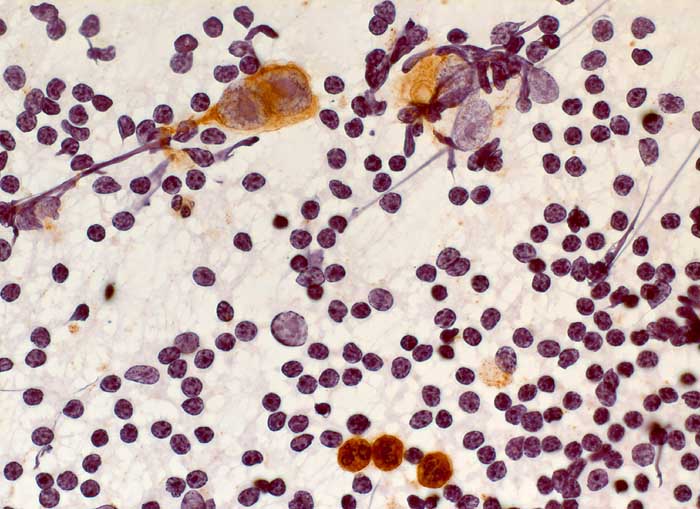
Reed-Sternberg Zellen und Hodgkin Zellen des klassischen Hodgkin Lymphoms (lymphozytenreich, noduläre Sklerose, Mischzelltyp, lymphozytenarm) sind positiv für CD15 und CD30. Die Tumorzellen des nodulären lymphozytenprädominanten Subtyps hingegen sind positiv für CD20 und CD45.
Klinik
-
Normalbefund
Morphologie
Makroskopie
Virtuelles Präparat
Befund
Pathologischer Befund
Normalbefund
Literatur
Datum
Ersteintrag: 01.04.2003
Update: 01.04.2003