PathoPic – image database / PathoPic ID 6534 - Hodgkin Lymphom: Reed-Sternberg Zelle

de
Diagnose
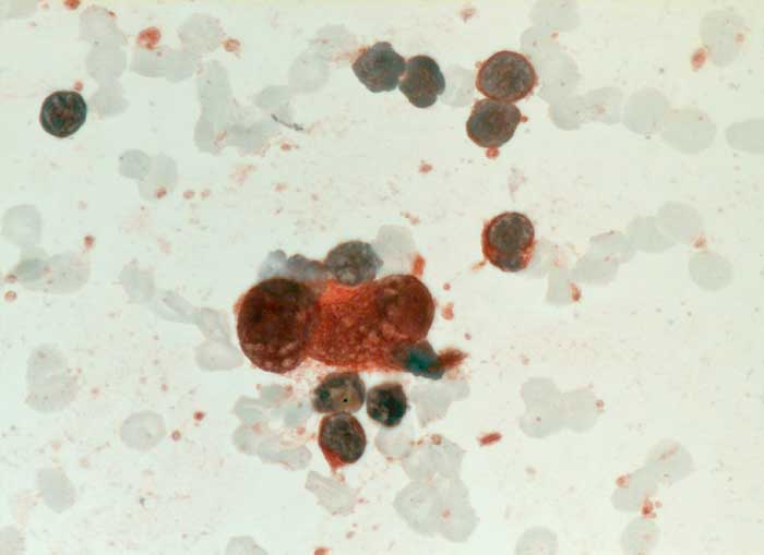
Hodgkin Lymphom: Reed-Sternberg Zelle
Diagnose Gruppe
maligner Tumor
Topographie
Lymphknoten, Kopf-cervikal
Topographie Gruppe
Lymphatische Gewebe, KM, Milz
Beschreibung
Feinnadelpunktion Lymphknoten cervikal links: Die grosse zweikernige Reed-Sternberg Zelle ist positiv für CD30.
Zusatzbefund
Histologisch Hodgkin Lymphom, Mischzelltyp.
Klinik
Lymphadenopathie zervikal beidseits seit >1 Jahr.
Kommentar
Zytologische Diagnose: Malignes Hodgkin-Lymphom.
Befund spricht am ehesten für ein klassisches Hodgkin-Lymphom vom Mischtyp. Die genaue histologische Klassifikation sollte jedoch am histologischen Präparat erfolgen.
Bilder Typ
Zytologie
Immunhistochemie
CD30 (Ki-1)
Vergrösserung
630
Alter
27
Geschlecht
männlich
Datum
Ersteintrag: 23.03.2003
Update: 31.03.2003