l/ HepPar1 (Hepatocyte)

Diagnose
HepPar1 (Hepatocyte)
Diagnose Gruppe
Differenzialdiagnose
Topographie Gruppe
Topographie
Einleitung
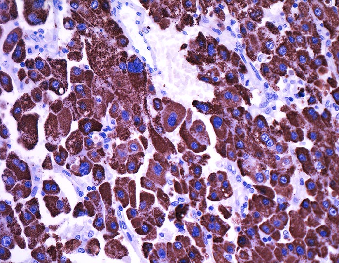
Hep Par 1 (Hepatocyte Paraffin 1)
Anfärbung:
Zytoplasma grob granulär ohne canaliculäre Akzentuierung.
Reaktion im Normalgewebe:
Nicht neoplastische Hepatozyten sind diffus positiv. Regenerative Knoten zeigen eine heterogene Anfärbung. Normale Dünndarmschleimhaut kann fokal stark positiv sein. Alle anderen Normalgewebe sind negativ.
Reaktion in Neoplasien:
Hepatozelluläre Karzinome färben sich heterogener an als das Normalgewebe. Die Anfärbung korreliert nicht mit dem Differenzierungsgrad. Kombinierte hepatozelluläre und cholangiozelluläre Karzinome sind lediglich in der hepatozellulären Komponente positiv.
Gallenwegskarzinome, Pankreaskarzinome und Magenkarzinome sind selten positiv.
Diagnostischer Nutzen:
Unterscheidung des hepatozellulären Karzinoms vom cholangiozellulären Karzinom und von Lebermetastasen.
Klinik
-
Normalbefund
Morphologie
Makroskopie
Virtuelles Präparat
Befund
Pathologischer Befund
Normalbefund
Literatur
Datum
Ersteintrag: 01.04.2003
Update: 01.04.2003