PathoPic – image database / PathoPic ID 1323 - Hepatozelluläres Karzinom : Ovarmetastase

de
Diagnose
Hepatozelluläres Karzinom : Ovarmetastase
Diagnose Gruppe
maligner Tumor
Topographie
Ovar
Topographie Gruppe
Genitalorgane, weiblich
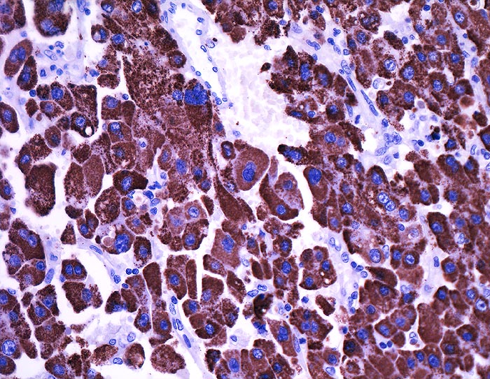
Beschreibung
Die hepatozytenähnlichen Anteile der Metastase reagieren sehr stark mit dem hepatozellulären Marker Hep-Par1
Klinik
St.n. Lebertransplantation wegen Hepatozellulärem Karzinom bei Hepatitis C vor 2 Jahren. Jetzt Metastasen von 12 und 14cm Durchmesser in beiden Ovarien.
Bilder Typ
Histologie
Immunhistochemie
Hep-Par 1, Hepatocyte
Alter
55
Geschlecht
unbekannt
Datum
Ersteintrag: 05.12.2001
Update: 10.08.2010