l/ Panzytokeratin (CK22/Lu-5)

Diagnose
Panzytokeratin (CK22/Lu-5)
Diagnose Gruppe
Differenzialdiagnose
Topographie Gruppe
Topographie
Einleitung
Panzytokeratin (CK22/Lu-5)
Anfärbung:
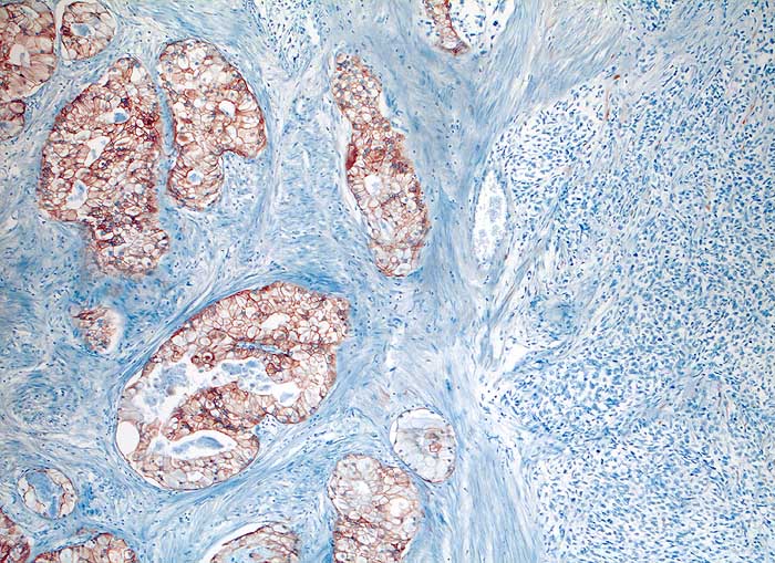
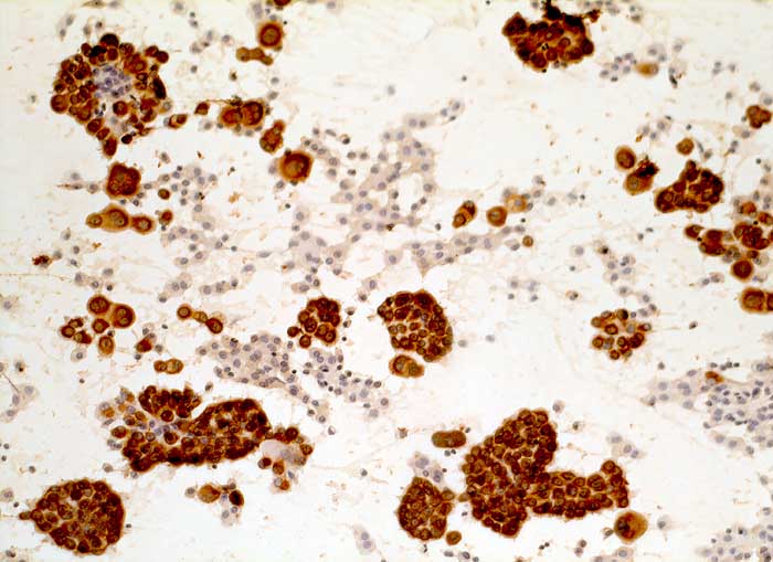
Zytoplasma positiv.
Reaktion im Normalgewebe:
CK22 und Lu-5 repräsentieren Zytokeratingemische, welche einen Grossteil normaler und neoplastischer Epithelzellen anfärben.
Reaktion in Neoplasien:
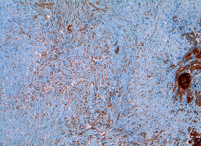
Die meisten Karzinome und vereinzelte Sarkome reagieren positiv mit diesen Panzytokeratinen. CK22 ist etwas sensitiver und spezifischer als Lu-5. Entdifferenzierte oder sarkomatoide Karzinome können die Positivität für Zytokeratine verlieren.
Diagnostischer Nutzen:
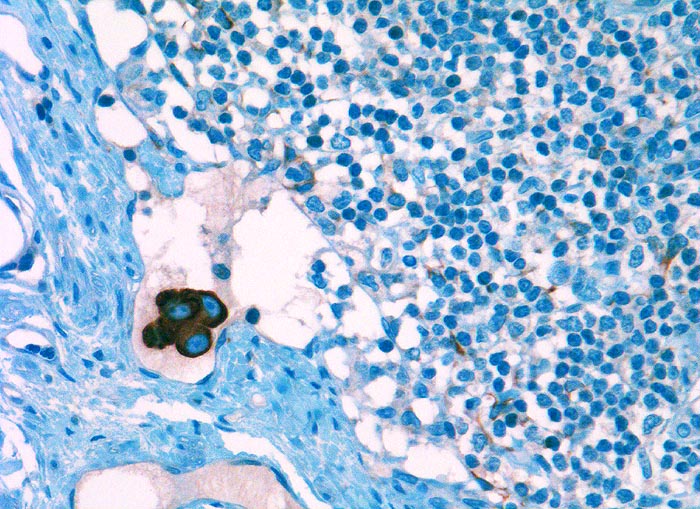
Suchantikörper zur Abgrenzung von Karzinomen von Lymphomen, Sarkomen und malignen Melanomen. Identifikation von Karzinommikrometastasen in Lymphknoten.
Klinik
-
Normalbefund
Morphologie
Makroskopie
Virtuelles Präparat
Befund
Pathologischer Befund
Normalbefund
Literatur
Datum
Ersteintrag: 01.04.2003
Update: 01.04.2003