PathoPic – image database / PathoPic ID 5910 - malignes Pleuramesotheliom

de
Diagnose
malignes Pleuramesotheliom
Diagnose Gruppe
maligner Tumor
Topographie
Pleuraerguss Zytologie
Topographie Gruppe
Körperhöhlen, Serosa
Beschreibung
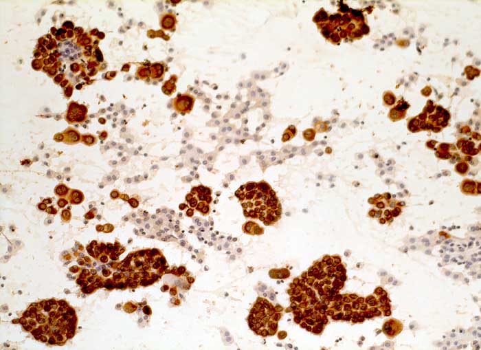
Pleurapunktat: Die rundlichen und papilliformen Tumorzellverbände sind deutlich positiv für den Panzytokeratinmarker Lu-5. Makrophagen und Lymphozyten sind negativ.
Zusatzbefund
Immunzytochemisch sind die im Vorbericht beschriebenen Tumorzellen eindeutig positiv für Lu-5, Calretinin und Vimentin, dagegen komplett negativ für Ber-EP4 und CEA. Diese Konstellation ist sehr typisch für ein malignes Pleuramesotheliom.
Klinik
Unklarer hämorrhagischer Pleuraerguss. St.n. beruflicher Asbestexposition. DD: Mesotheliom. Seit Jahren noduläre unklare Lungenveränderungen.
Kommentar
Zytologische Diagnose: Massenhaft Zellen eines malignen Tumors. Der Befund könnte unter anderem zu einem Mesotheliom passen.
Bilder Typ
Zytologie
Immunhistochemie
Lu5 Panzytokeratin
Vergrösserung
200
Alter
61
Geschlecht
männlich
Datum
Ersteintrag: 03.01.2003
Update: 17.02.2003