l/ CD3

Diagnose
CD3
Diagnose Gruppe
Differenzialdiagnose
Topographie Gruppe
Topographie
Einleitung
CD3
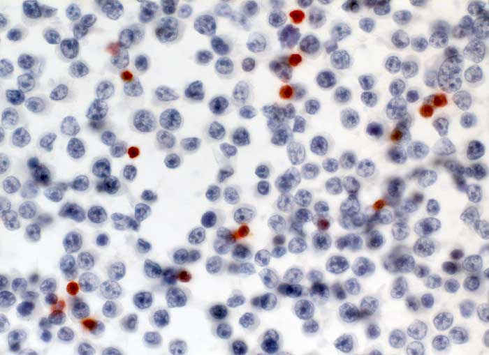
Anfärbung:
Zellmembran
Reaktion im Normalgewebe:
Pan T-Zell Marker positiv in Thymozyten, ruhenden und aktivierten T Lymphozyten. Negativ in B Lymphozyten, Makrophagen und myeloischen Zellen.
Reaktion in Neoplasien:
T-Zell ALL und T-Zell Lymphome positiv. Einige Fälle von Mycosis fungoides, pleomorphen Lymphomen und anaplastischen grosszelligen Lymphomen können CD3 negativ sein.
Diagnostischer Nutzen:
Identifikation von nicht neoplastischen und neoplastischen T Lymphozyten und natürlichen Killerzellen.
Positiv in der T-Zell ALL.
Wird meist in Kombination mit dem B-Zell Marker CD20 angewendet.
Klinik
-
Normalbefund
Morphologie
Makroskopie
Virtuelles Präparat
Befund
Pathologischer Befund
Normalbefund
Literatur
Datum
Ersteintrag: 13.04.2003
Update: 13.04.2003