PathoPic – image database / PathoPic ID 6162 - diffuses grosszelliges B-Zelllymphom

de
Diagnose
diffuses grosszelliges B-Zelllymphom
Diagnose Gruppe
maligner Tumor
Topographie
Aszites
Topographie Gruppe
Körperhöhlen, Serosa
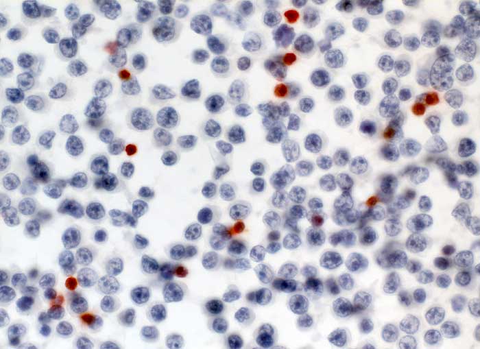
Beschreibung
Aszites: Lediglich einzelne kleine T Lymphozyten reagieren positiv mit dem T-Zell Marker CD3, nicht jedoch die grossen atypischen Lymphomzellen.
Zusatzbefund
Immunzytochemisch sind die atypischen lymphoiden Zellen negativ für den T-Lymphozytenmarker CD3. Ca. 10% der Tumorzellen zeigen dagegen eine deutliche Positivität für den B-Lymphozytenmarker CD20. Somit handelt es sich um einen peritonealen Befall des in der Biopsie nachgewiesenen diffusen grosszelligen B-Zell-Lymphoms.
Klinik
Raumforderung in Nebennierenregion rechts.
Bilder Typ
Zytologie
Immunhistochemie
CD3
Vergrösserung
400
Alter
60
Geschlecht
unbekannt
Datum
Ersteintrag: 24.01.2003
Update: 28.03.2003