l/ CD138

Diagnose
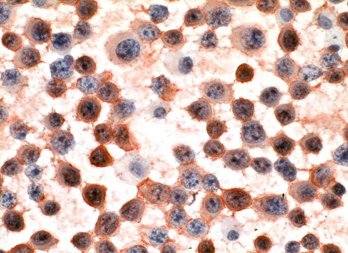
CD138
Diagnose Gruppe
Differenzialdiagnose
Topographie Gruppe
Topographie
Einleitung
CD138
Anfärbung:
Zellmembran
Reaktion im Normalgewebe:
Plasmazellen sind positiv.
Reaktion in Neoplasien:
Neoplastische Plasmazellen reagieren positiv.
Diagnostischer Nutzen:
Diagnose des multiplen Myeloms. Identifikation von Plasmazellen.
Klinik
-
Normalbefund
Morphologie
Makroskopie
Virtuelles Präparat
Befund
Pathologischer Befund
Normalbefund
Literatur
Datum
Ersteintrag: 01.04.2003
Update: 01.04.2003