PathoPic – image database / PathoPic ID 6108 - wenig differenziertes multiples Myelom

de
Diagnose
wenig differenziertes multiples Myelom
Diagnose Gruppe
maligner Tumor
Topographie
Pleuraerguss Zytologie
Topographie Gruppe
Körperhöhlen, Serosa
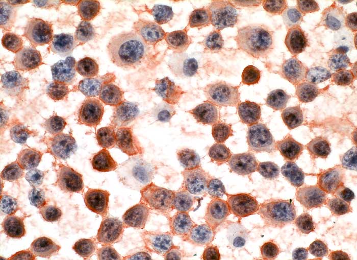
Beschreibung
Pleuraerguss: die atypischen Plasmazellen sind positiv für den Plasmazellmarker CD138.
Zusatzbefund
Immunzytochemisch sind die Tumorzellen negativ für den T-Linien-spezifischen Marker CD3 bei gleichzeitiger positiver interner Kontrolle in Form von eingestreuten kleinen reaktiven T-Zellen. Auch die Reaktion für den B-Zell-Marker CD20 ist negativ, dagegen reagieren sämtliche atypischen Zellen positiv für den Plasmazellmarker CD138 (Syndecan-1). Dieser Befund beweist zusammen mit dem zytomorphologischen Aspekt die Diagnose eines Plasmozytoms. Es dürfte sich mit hoher Wahrscheinlichkeit um ein extramedulläres Rezidiv des in einer früheren Knochenmarksbiopsie diagnostizierten, wenig differenzierten multiplen Myeloms (damals monoklonal positiv für Kappa-Leichtketten) handeln. Die Reaktion auf den Proliferationsmarker Ki-67 zeigt eine Positivität in ca. 80% der Tumorzellkerne, was auf eine ausgesprochen hohe proliferative Aktivität hinweist
Klinik
Einseitiger Pleuraerguss unklarer Ätiologie (links). p-ANCA positive Vaskulitis mit Nierenbeteiligung. Immunsuppression.
Bilder Typ
Zytologie
Immunhistochemie
CD138 (Syndecan)
Vergrösserung
400
Alter
65
Geschlecht
männlich
Datum
Ersteintrag: 21.01.2003
Update: 01.04.2003