l/ PSA (saure Prostataphosphatase)

Diagnose
PSA (saure Prostataphosphatase)
Diagnose Gruppe
Differenzialdiagnose
Topographie Gruppe
Topographie
Einleitung
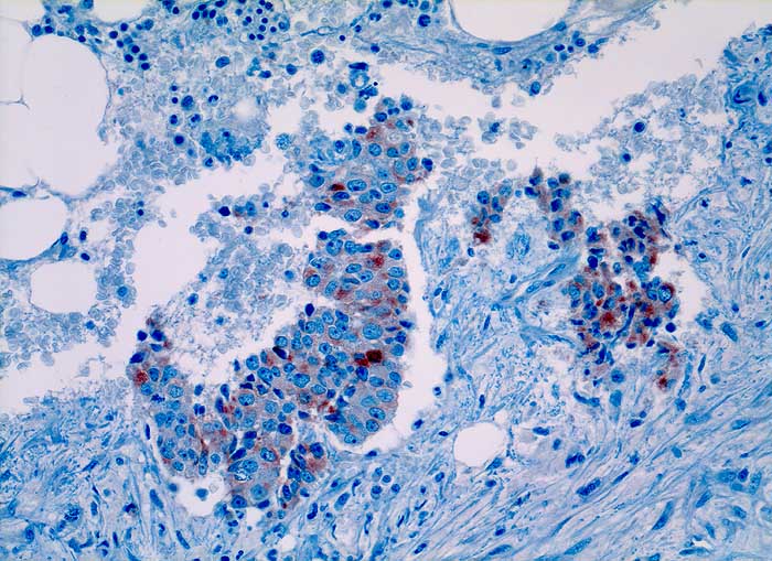
PSA (Prostata spezifisches Antigen)
Anfärbung:
Zytoplasma
Reaktion im Normalgewebe:
Epithelzellen von Azini und Gängen der Prostata. Samenblase (33%).
Reaktion in Neoplasien:
100% der hochdifferenzierten und 95% der wenig differenzierten Adenokarzinome der Prostata sind PSA positiv.
Diagnostischer Nutzen:
Nachweis von Metastasen eines Prostatakarzinoms zusammen mit saurer Prostata Phosphatase (letztere ist in wenig differenzierten Tumoren oft sensitiver).
Diagnose und Überwachung des Prostatakarzinoms (Serumwert).
Klinik
-
Normalbefund
Morphologie
Makroskopie
Virtuelles Präparat
Befund
Pathologischer Befund
Normalbefund
Literatur
Datum
Ersteintrag: 01.04.2003
Update: 01.04.2003