PathoPic – image database / PathoPic ID 5342 - Prostatakarzinom: Knochenmetastase

de
Diagnose
Prostatakarzinom: Knochenmetastase
Diagnose Gruppe
maligner Tumor
Topographie
Knochenmark, Beckenkamm
Topographie Gruppe
Knochen, Knorpel, Gelenke
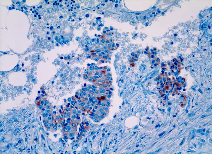
Beschreibung
Oben im Bild blutbildendes Knochenmark. Die soliden Tumorzellverbände reagieren positiv mit einem Antikörper gegen Prostata spezifisches Antigen.
Zusatzbefund
Immunhistochemisch sind die Karzinomzellen positiv mit einem Antikörper gegen PSA (prostataspezifisches Antigen) und gegen PSAP (prostataspezifische saure Phosphatase).
Klinik
Retroperitoneale Raumforderung. V.a. Lymphom. Anämie.
Bilder Typ
Histologie
Immunhistochemie
PSA
Vergrösserung
200
Alter
88
Geschlecht
männlich
Datum
Ersteintrag: 20.11.2002