l/ CEA

Diagnose
CEA
Diagnose Gruppe
Differenzialdiagnose
Topographie Gruppe
Topographie
Einleitung
CEA
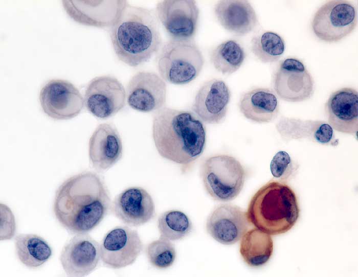
Anfärbung:
Zytoplasma membranbetont positiv. Polyklonales CEA färbt Gallecanaliculi.
Reaktion im Normalgewebe:
Dieses Glykoprotein wird exprimiert von fetalen epithelialen Zellen und in kleinen Mengen in normalen adulten Epithelzellen.
Reaktion in Neoplasien:
Geringe Positivität in einigen gutartigen Tumoren. Starke Positivität in Adenokarzinomen des Gastrointestinaltraktes, der Lunge, im medullären Schilddrüsenkarzinom und in muzinösen Tumoren der Zervix.
Diagnostischer Nutzen:
Unterscheidung von Karzinomen (positiv) und benignen oder malignen Mesothelzellen im Erguss (negativ).
Unterscheidung des hepatozellulären Karzinoms (canaliculäre Färbung mit polyklonalem CEA spezifisch für hepatozelluläres Karzinom) von Metastasen.
Klinik
-
Normalbefund
Morphologie
Makroskopie
Virtuelles Präparat
Befund
Pathologischer Befund
Normalbefund
Literatur
Datum
Ersteintrag: 29.03.2003
Update: 29.03.2003