PathoPic – image database / PathoPic ID 6402 - Siegelringkarzinom des Magens

de
Diagnose
Siegelringkarzinom des Magens
Diagnose Gruppe
maligner Tumor
Topographie
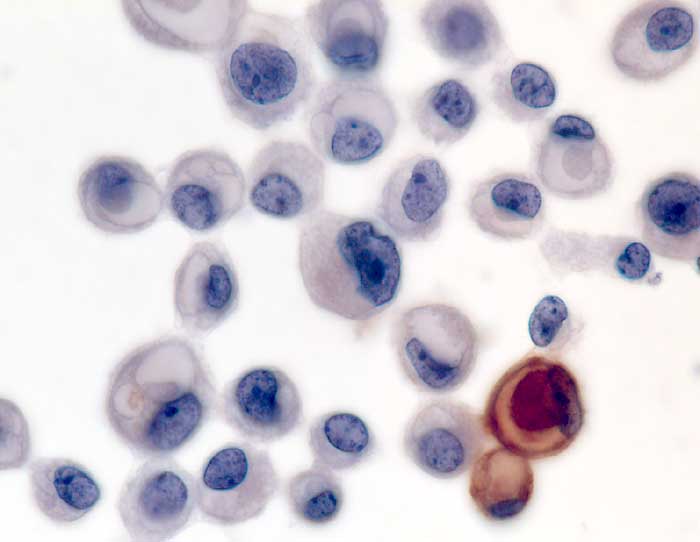
Aszites
Topographie Gruppe
Körperhöhlen, Serosa
Beschreibung
Aszites: Zwei Karzinomzellen mit Siegelringaspekt sind positiv für CEA. Bei den anderen Zellen handelt es sich um Makrophagen. Die Tumorzellen wären ohne Immunzytochemie kaum von den Makrophagen unterscheidbar.
Klinik
V.a. ausgedehnte Peritonealkarzinose unklarer Ätiologie.
Bilder Typ
Zytologie
Immunhistochemie
CEA
Vergrösserung
630
Alter
73
Geschlecht
unbekannt
Datum
Ersteintrag: 12.02.2003
Update: 28.03.2003