p/ Lymphknotenmetastase: Malignes Melanom

Diagnose
Lymphknotenmetastase: Malignes Melanom
Diagnose Gruppe
maligner Tumor
Differenzialdiagnose
Topographie Gruppe
Lymphatische Gewebe, KM, Milz
Topographie
Lymphknoten, Axilla
Einleitung
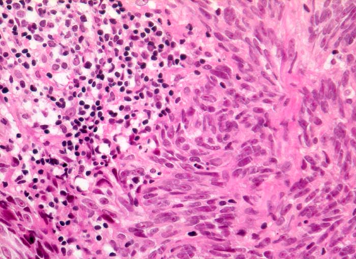
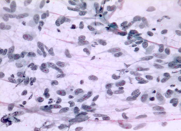
Melanome metastasieren häufig in die Lymphknoten. Sie können morphologisch sehr unterschiedlich aussehen. Melanome erscheinen zytologisch teils wie ein Sarkom, teils wie ein Karzinom. Die Tumorzellen können Pseudoverbände ähnlich einem Karzinom bilden. In zellreichen Aspiraten erkennt man oft Kapillarachsen, denen die Tumorzellen in mehreren sich gegen peripher auflockernden Schichten anliegen, so dass ein garbenartiges Muster entsteht, wie man es auch bei Sarkomen beobachten kann. Prominente Nukleolen und intranukleäre Vakuolen sind oft vorhanden. Melanotische Metastasen sind aufgrund des Melaninpigmentes leicht diagnostizierbar. Bei amelanotischen Metastasen kann eine immunzytochemische Untersuchung mit S-100 und/oder HMB-45 weiterhelfen.
Klinik
-
Normalbefund
Morphologie
Makroskopie
Virtuelles Präparat
Befund
Pathologischer Befund
Normalbefund
Literatur
Datum
Ersteintrag: 01.04.2003
Update: 01.04.2003