PathoPic – image database / PathoPic ID 5578 - Malignes Melanom

de
Diagnose
Malignes Melanom
Diagnose Gruppe
maligner Tumor
Topographie
Lymphknoten, Axilla
Topographie Gruppe
Lymphatische Gewebe, KM, Milz
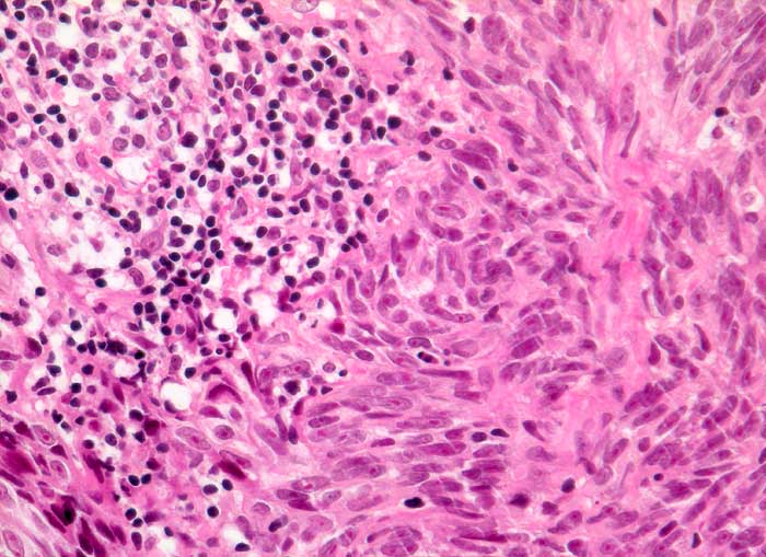
Beschreibung
Links im Bild Reste des Lymphknotens. Zu kurzen Faszikeln angeordnete Tumorzellen mit spindeligen Kernen und auffallenden eosinophilen Nukleolen. Kein Pigmentnachweis.
Klinik
Seit zwei Monaten zunehmende axilläre Lymphknotenschwellung.
Bilder Typ
Histologie
Vergrösserung
320
Alter
74
Geschlecht
männlich
Datum
Ersteintrag: 23.12.2002
Update: 11.02.2003