p/ Medulläres Schilddrüsenkarzinom

Diagnose
Medulläres Schilddrüsenkarzinom
Diagnose Gruppe
maligner Tumor
Differenzialdiagnose
Topographie Gruppe
Endokrinium
Topographie
Schilddrüse
Einleitung
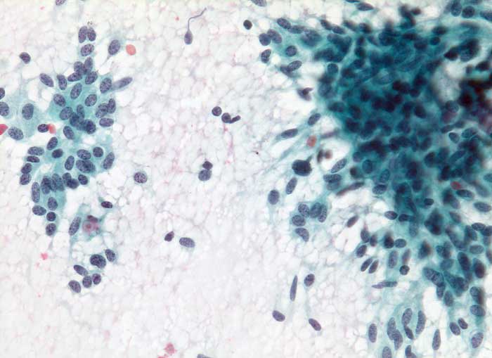
Die Tumorzellen sind polygonal bis spindelförmig. Die gleichförmigen Kerne liegen exzentrisch im zyanophilen Zytoplasma. Das Zellbild kann ausgesprochen monomorph imponieren. Das Kernchromatin ist fein granulär und wenig atypisch. Die Nukleolen sind meist unscheinbar. Gelegentlich finden sich Kernvakuolen. In einigen Fällen ist Amyloid in Form einer homogenen zyanophilen bis leicht eosinophilen Masse nachweisbar. Es ist weniger stark angefärbt als Kolloid. Amyloid kann mit Hilfe einer Kongorotfärbung am vorher nach Papanicolaou gefärbten Präparat dargestellt werden. Aufgrund der unterschiedlichen Morphologie können medulläre Karzinome mit zahlreichen anderen Tumoren verwechselt werden (oxyphile Tumoren, follikuläre und papilläre Schilddrüsenkarzinome, anaplastisches Karzinom, Fibrosarkom). Medulläre Karzinome exprimieren im Gegensatz zum Schilddrüsenkarzinom Calcitonin und CEA, aber kein Thyreoglobulin. 
Klinik
-
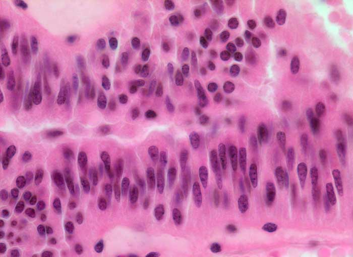
Normalbefund
Morphologie
Makroskopie
Virtuelles Präparat
Befund
Pathologischer Befund
Normalbefund
Literatur
Datum
Ersteintrag: 01.04.2003
Update: 15.09.2023