PathoPic – image database / PathoPic ID 5420 - medulläres Schilddrüsenkarzinom

de
Diagnose
medulläres Schilddrüsenkarzinom
Diagnose Gruppe
maligner Tumor
Topographie
Schilddrüse
Topographie Gruppe
Endokrinium
Beschreibung
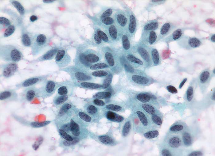
Frischgewebsabstrich: deutlich spindelig geformte atypische Tumorzellen. Die Kerne sind wenig polymorph, und enthalten nur hie und da einen angedeuteten Nukleolus. Pfeffer und Salz Chromatin. Zytoplasmaleib schmal und angedeutet spindelig.
Zusatzbefund
-
Klinik
Patient aus MEN IIA-Familie mit nachgewiesener Mutation des RET-Protoonkogens. Erhöhte Calcitoninwerte nach Pentagastrinstimulation und dringender V.a. medulläres Schilddrüsenkarzinom rechts.
Kommentar
Zytologische Diagnose: medulläres Schilddrüsenkarzinom
Bilder Typ
Zytologie
Vergrösserung
630
Alter
48
Geschlecht
männlich
Datum
Ersteintrag: 20.11.2002