p/ Granulomatöse Sialadenitis bei Sarkoidose

Diagnose
Granulomatöse Sialadenitis bei Sarkoidose
Diagnose Gruppe
Systemerkrankung/Immunpathologie
Differenzialdiagnose
Topographie Gruppe
Oesophagus, Magen
Topographie
Parotis
Einleitung
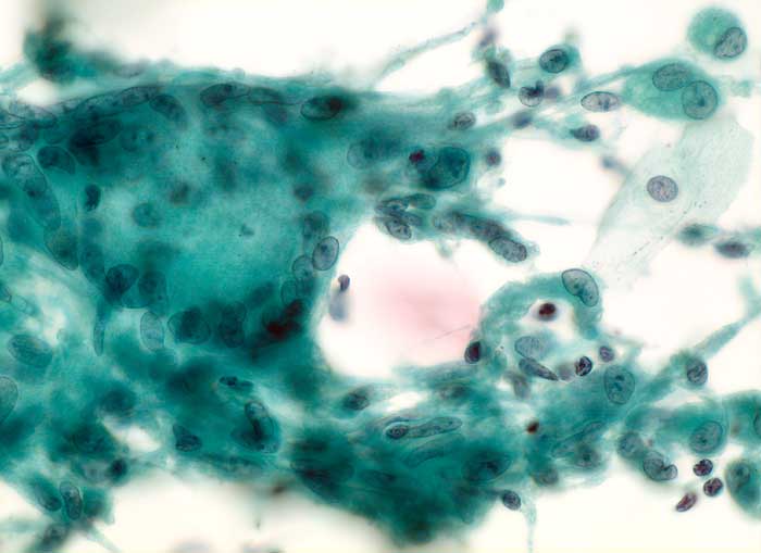
Eine granulomatöse Sialadenitis ist in der Regel bedingt durch eine Sarkoidose (nicht verkäsende Granulome) und manchmal durch eine Tuberkulose (verkäsende Granulome mit granulärem nekrotischem Detritus). Katzenkratzkrankheit, Toxoplasmose, tertiäre Lues, Lepra, Pilzinfektionen und Fremdkörper können ebenfalls Granulome verursachen. Im Ausstrich sind noduläre Ansammlungen von epitheloiden Histiozyten und eventuell Riesenzellen nachweisbar. Epitheloidzellen sind charakterisiert durch ein fibrilläres Zytoplasma und elongierte blande Kerne mit gefalteten Kernmembranen und winzigen Nukleolen.
Klinik
-
Normalbefund
Morphologie
Makroskopie
Virtuelles Präparat
Befund
Pathologischer Befund
Normalbefund
Literatur
Datum
Ersteintrag: 01.04.2003
Update: 01.04.2003