PathoPic – image database / PathoPic ID 5737 - granulomatöse Sialadenitis vereinbar mit Sarkoidose

de
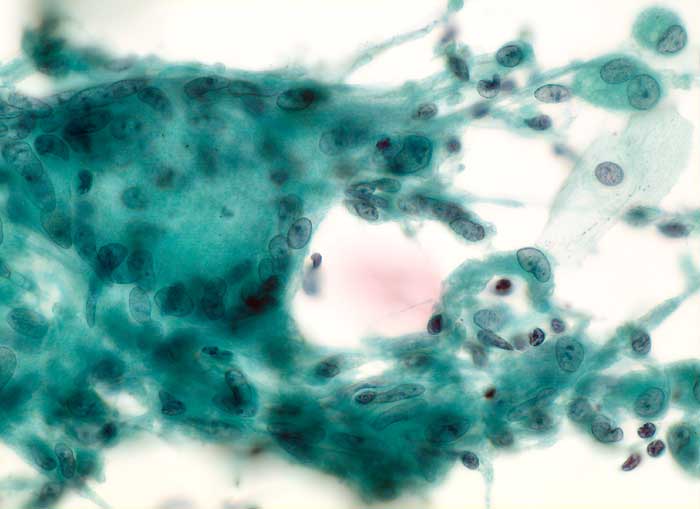
Diagnose
granulomatöse Sialadenitis vereinbar mit Sarkoidose
Diagnose Gruppe
Systemerkrankung/Immunpathologie
Topographie
Parotis
Topographie Gruppe
Kopf & Hals, Sinnesorgane
Beschreibung
Feinnadelpunktat aus dem Bereich des linken Parotis-Unterpols: rein produktives epitheloidzelliges Granulom mit Riesenzelle.
Zusatzbefund
In der später durchgeführten Lungenbiopsie und in der BAL epitheloidzellige Granulome vereinbar mit Sarkoidose
Klinik
Parotistumor linker Unterpol DD: pleomorphes Adenom. Warthin Tumor. Periphere granulomatöse Veränderung der Lunge z. Zeit in Abklärung.
Kommentar
Der Befund würde - insbesondere in Zusammenhang mit der klinischen Angabe von granulomatösen Lungenveränderungen - gut zu einer Sarkoidose passen.
Bilder Typ
Zytologie
Vergrösserung
400
Alter
40
Geschlecht
männlich
Datum
Ersteintrag: 02.12.2002
Update: 21.12.2007