n/ Bronchioloalveoläres Karzinom der Lunge

Diagnose
Bronchioloalveoläres Karzinom der Lunge
Diagnose Gruppe
maligner Tumor
Differenzialdiagnose
Topographie Gruppe
Lunge, Mediastinum mit Thymus
Topographie
Broncho-alveoläre Lavage
Einleitung
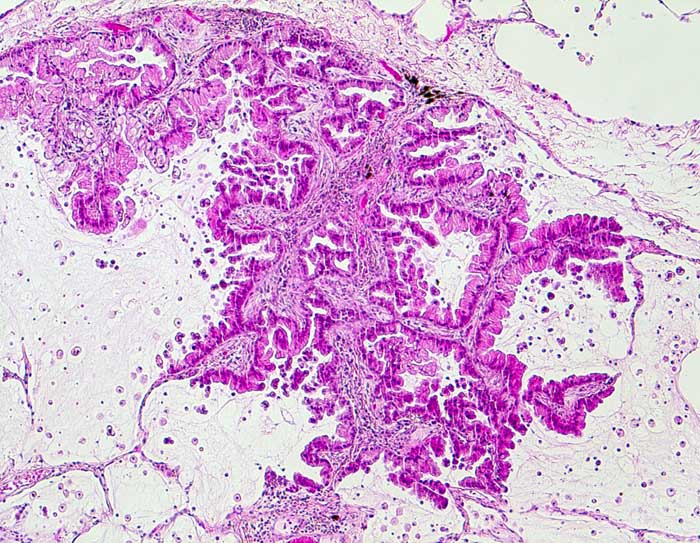
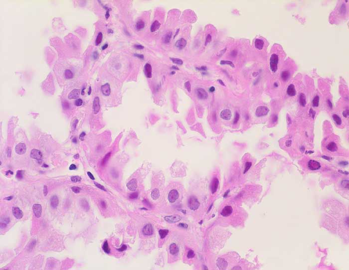
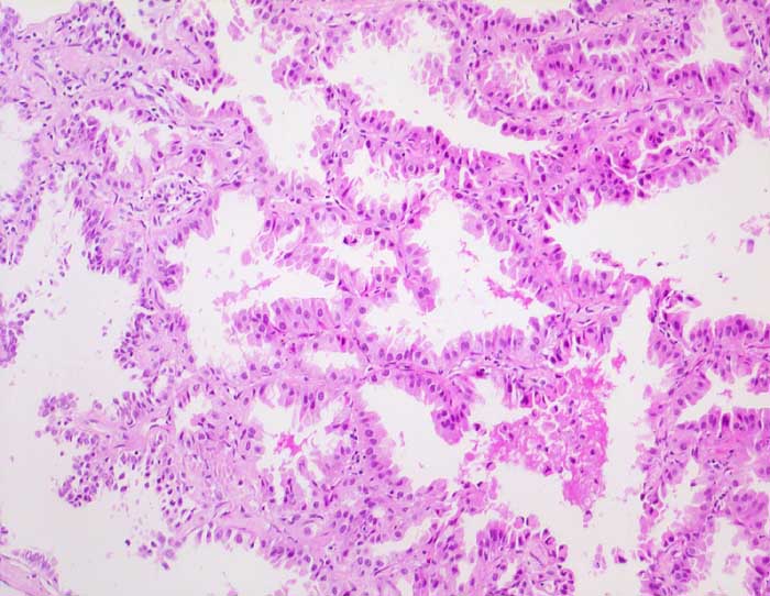
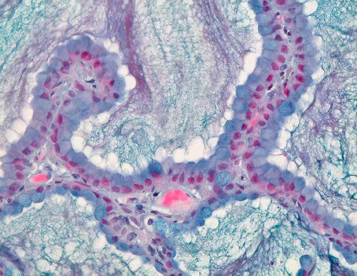
Das Bronchioloalveoläre Karzinom stellt eine Variante des Adenokarzinoms dar. Die Tumorzellen wachsen per Definition auf dem intakten Alveolargerüst, ohne das Stroma zu infiltrieren. Nicht selten zeigen Ausläufer gewöhnlicher Adenokarzinome ein bronchioloalveoläres Wachstumsmuster. Bei diesen Tumoren handelt es sich jedoch nicht um echte bronchioloalveoläre Karzinome. Da eine Invasion zytologisch nicht ausgeschlossen werden kann, ist die zytologische Diagnose eines bronchioloalveolären Karzinoms nicht eindeutig möglich. Die Karzinomzellen schilfern in kleinen Gruppen oder dreidimensionalen Verbänden in die Alveolarlichtungen ab. Multiple kleine papilliforme Zellverbände, die mit Creolakörperchen verwechselt werden können, sind typisch. Im Sputum erscheinen die Tumorzellen kleiner als die der üblichen Adenokarzinome. Die Kerne liegen exzentrisch, sind rund und glatt begrenzt, das Chromatin ist blass. Kernkerben und Pseudoinklusionen sind möglich, Nukleolen sind unauffällig. Das reichlich vorhandene Zytoplasma färbt sich blass eosinophil bis blass zyanophil. Beim muzinösen Subtyp ist es unterschiedlich vakuolisiert. Aufgrund der geringen Kernatypien ist die Unterscheidung von einer Becherzellhyperplasie bisweilen schwierig. Pseudoepitheliale Verbände aktivierter Makrophagen und hyperplastische Alveolarzellen, wie sie bei Lungeninfarkten oder Lungenfibrosen vorkommen verschwinden im Gegensatz zum ähnlich aussehenden bronchioloalveolären Karzinom in wiederholten Sputumkontrollen.
Der erste Fall zeigt ein muzinöses, der zweite Fall ein nicht muzinöses bronchioloalveoläres Karzinom.
Klinik
-
Normalbefund
Morphologie
Makroskopie
Virtuelles Präparat
Befund
Pathologischer Befund
Normalbefund
Literatur
Datum
Ersteintrag: 12.04.2003
Update: 12.04.2003