Diagnose
Nicht muzinöses Bronchioloalveoläres Karzinom
Diagnose Gruppe
maligner Tumor
Topographie Gruppe
Lunge, Mediastinum mit Thymus
Beschreibung
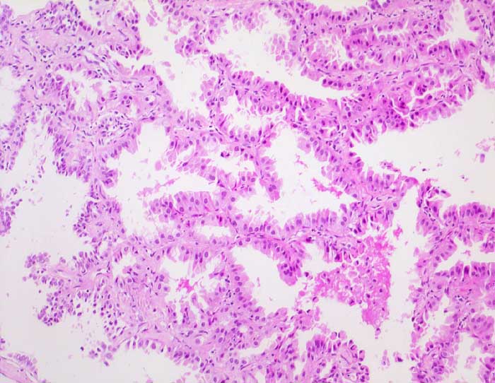
Die Alveolarsepten werden von hochprismatischen Zellen mit reichlich eosinophilem Zytoplasma ausgekleidet. Das Alveolargerüst ist erhalten und nicht wesentlich verdickt.
Datum
Ersteintrag: 30.03.2003
Update: 28.03.2005