n/ Grosszelliges Bronchuskarzinom

Diagnose
Grosszelliges Bronchuskarzinom
Diagnose Gruppe
maligner Tumor
Differenzialdiagnose
Topographie Gruppe
Lunge, Mediastinum mit Thymus
Topographie
Bronchialsekret
Einleitung
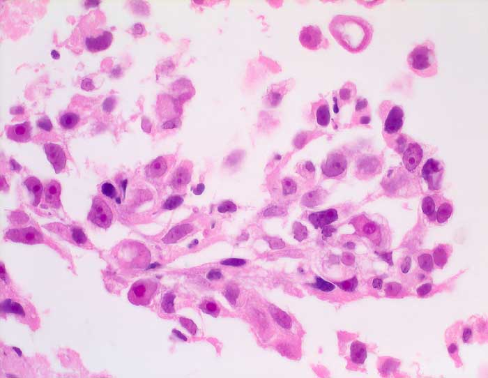
Ein grosszelliges Karzinom wird per exclusionem diagnostiziert, wenn plattenepitheliale, adenomatöse oder andere Differenzierung fehlen. Entsprechend sind weder Verhornung noch Schleimbildung feststellbar. Die Abgrenzung vom wenig differenzierten Adenokarzinom gelingt durch den Nachweis von Sekretvakuolen im Falle eines Adenokarzinoms. Die Kerne können relativ monomorph, aber auch extrem polymorph und ausgesprochen hyperchromatisch sein. Im Unterschied zum kleinzelligen Karzinom sind die Tumorzellen grösser, besitzen einen breiteren Zytoplasmaleib und prominente Nukleolen. Die Tumorzellen liegen einzeln oder in lockeren Verbänden.
Klinik
-
Normalbefund
Morphologie
Makroskopie
Virtuelles Präparat
Befund
Pathologischer Befund
Normalbefund
Literatur
Datum
Ersteintrag: 01.04.2003
Update: 01.04.2003