PathoPic – image database / PathoPic ID 5785 - Grosszelliges Karzinom

de
Diagnose
Grosszelliges Karzinom
Diagnose Gruppe
maligner Tumor
Topographie
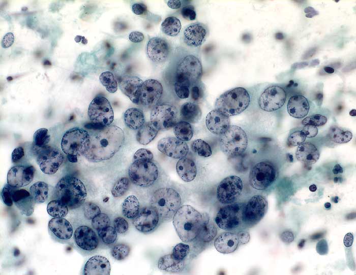
Bronchialsekret
Topographie Gruppe
Lunge, Mediastinum mit Thymus
Beschreibung
Bronchialsekret: Zahlreiche atypische Zellen. Diese liegen in einem lockeren Verband und sind ganz unterschiedlich gross. Die vesikulären Kerne rundlich bis oval, hin und wieder aber auch gekerbt oder gebuchtet und deutlich grob strukturiert. Meist enthalten die Kerne einen ziemlich plumpen basophilen Nukleolus. Der Zytoplasmaleib ist ziemlich breit.
Klinik
Bronchuskarzinom rechter Unterlappen
Kommentar
Zytologische Diagnose: Zahlreiche Zellen eines weitgehend entdifferenzierten gross und polymorphzelligen Karzinoms.
Bilder Typ
Zytologie
Vergrösserung
400
Alter
63
Geschlecht
männlich
Datum
Ersteintrag: 10.12.2002
Update: 26.03.2003