n/ Eitrige Meningitis

Diagnose
Eitrige Meningitis
Diagnose Gruppe
Entzündung infektiös
Differenzialdiagnose
Topographie Gruppe
Nervensystem
Topographie
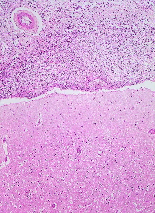
Meningen
Einleitung
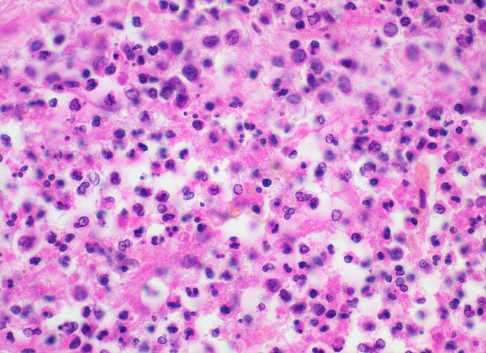
Zytologisch finden sich mehr als 90% neutrophile Granulozyten, ausserdem Fibrin, Makrophagen, degenerierende Zellen, Zelldetritus und manchmal Mikroorganismen. Nach Beginn der Antibiotikatherapie kommt es zu einem raschen Abfall der Zellzahl. Die neutrophilen Granulozyten degenerieren und aktivierte Monozyten beherrschen das Zellbild. Plasmozytoide Lymphozyten und Plasmazellen können dazukommen. In der Reparationsphase verschwinden die Granulozyten, die Anzahl Plasmazellen verringert sich, die Makrophagen sind degeneriert und haben vakuolisiertes Zytoplasma.
Klinik
-
Normalbefund
Morphologie
Makroskopie
Virtuelles Präparat
Befund
Pathologischer Befund
Normalbefund
Literatur
Datum
Ersteintrag: 01.04.2003
Update: 01.04.2003