PathoPic – image database / PathoPic ID 5191 - Eitrige Leptomeningitis

de
Diagnose
Eitrige Leptomeningitis
Diagnose Gruppe
Entzündung infektiös
Topographie
Meningen
Topographie Gruppe
Nervensystem
Beschreibung
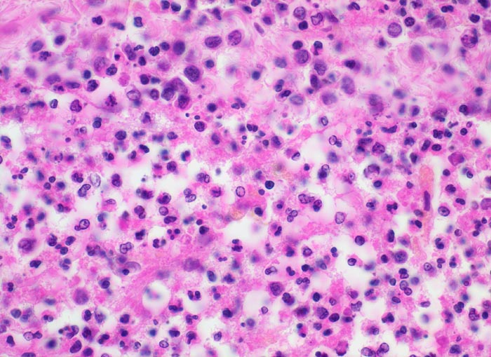
Ausschnitt aus dem eitergefüllten Subarachnoidalraum: Wenig Fibrin, segmentkernige und stabkernige neutrophile Granulozyten, Kerntrümmer von zerfallenen neutrophilen Granulozyten.
Zusatzbefund
Bronchopneumonie. Nachweis von Pneumokokken im Abstrich von der Hirnoberfläche und von der Lunge.
Klinik
Kopfschmerzen seit 3 Tagen mit zunehmender Bewusstseinseintrübung, Fieber. Diabetes mellitus. Patientin stirbt kurz nach Spitaleintritt.
Bilder Typ
Histologie
Vergrösserung
400
Alter
66
Geschlecht
unbekannt
Datum
Ersteintrag: 23.07.2002
Update: 16.03.2003